Mouse Monoclonal Antibody to IRF3
货号:
32422
别名:
IIAE7
应用:
WB,IHC,FCM
反应种属:
Human, Mouse, Rat
抗体类型:
Primary antibody
Swissprot:
Q14653
规格:
目录价
在线咨询
Description |
|---|
This gene encodes a member of the interferon regulatory transcription factor (IRF) family. The encoded protein is found in an inactive cytoplasmic form that upon serine/threonine phosphorylation forms a complex with CREBBP. This complex translocates to the nucleus and activates the transcription of interferons alpha and beta, as well as other interferon-induced genes. The protein plays an important role in the innate immune response against DNA and RNA viruses. Mutations in this gene are associated with Encephalopathy, acute, infection-induced, herpes-specific, 7. |
References |
|---|
| 1.J Immunol. 2020 Oct 15;205(8):1981-1989. 2.Int J Biol Sci. 2021 Apr 10;17(6):1547-1554. |
Specification |
|
|---|---|
| Aliases | IIAE7 |
| Entrez GeneID | 3661 |
| Swissprot | Q14653 |
| clone | 5G3E2 |
| WB Predicted band size | 47.2kDa |
| Host/Isotype | Mouse IgG1 |
| Antibody Type | Primary antibody |
| Storage | Store at 4°C short term. Aliquot and store at -20°C long term. Avoid freeze/thaw cycles. |
| Species Reactivity | Human, Mouse, Rat |
| Immunogen | Purified recombinant fragment of human IRF3 (AA: 1-150) expressed in HEK293-6e cells supernatant. |
| Formulation | Purified antibody in PBS with 0.05% sodium azide |
Application |
|
|---|---|
| WB | 1/500 - 1/2000 |
| IHC | 1/200 - 1/1000 |
| FCM | 1/200 - 1/400 |
| ELISA | 1/10000 |
Product Image
-
Black line: Control Antigen (100 ng);Purple line: Antigen (10ng); Blue line: Antigen (50 ng); Red line:Antigen (100 ng)

-
Western blot analysis using IRF3 mouse mAb against THP-1 (1), Hela (2), A549 (3), MCF-7 (4), K562 (5), Jurkat (6) and A431 (7) cell lysate.

-
Flow cytometric analysis of Hela cells using IRF3 mouse mAb (green) and negative control (red).

-
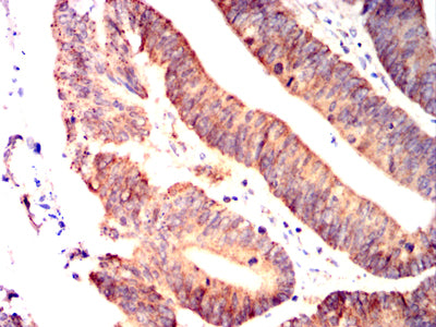
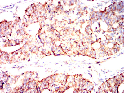
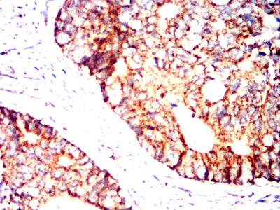
Immunohistochemical analysis of paraffin-embedded human bladder cancer tissues using IRF3 mouse mAb with DAB staining.

-
Immunohistochemical analysis of paraffin-embedded human colon cancer tissues using IRF3 mouse mAb with DAB staining.

-
Immunohistochemical analysis of paraffin-embedded human ovarian cancer tissues using IRF3 mouse mAb with DAB staining.

-
Immunohistochemical analysis of paraffin-embedded human rectum cancer tissues using IRF3 mouse mAb with DAB staining.

-
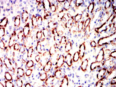
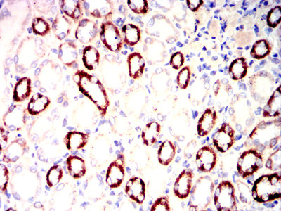
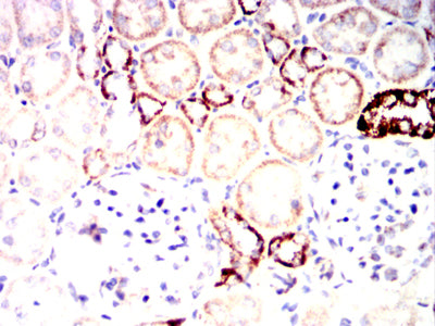
Immunohistochemical analysis of paraffin-embedded mouse kidney tissues using IRF3 mouse mAb with DAB staining.

-
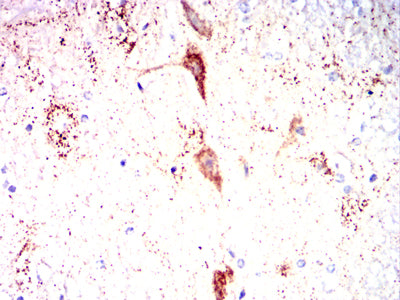
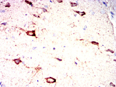
Immunohistochemical analysis of paraffin-embedded mouse brain tissues using IRF3 mouse mAb with DAB staining.

-
Immunohistochemical analysis of paraffin-embedded rat kidney tissues using IRF3 mouse mAb with DAB staining.

-
Immunohistochemical analysis of paraffin-embedded rat brain tissues using IRF3 mouse mAb with DAB staining.

-
Immunohistochemical analysis of paraffin-embedded rabbit kidney tissues using IRF3 mouse mAb with DAB staining.

-
Immunohistochemical analysis of paraffin-embedded rabbit brain tissues using IRF3 mouse mAb with DAB staining.














鄂公网安备42018502007531号

