Mouse Monoclonal Antibody to IRF3
货号:
32414
别名:
IIAE7
应用:
IHC,IF,FCM
反应种属:
Human, Mouse, Rat
抗体类型:
Primary antibody
Swissprot:
Q14653
规格:
目录价
在线咨询
Description |
|---|
This gene encodes a member of the interferon regulatory transcription factor (IRF) family. The encoded protein is found in an inactive cytoplasmic form that upon serine/threonine phosphorylation forms a complex with CREBBP. This complex translocates to the nucleus and activates the transcription of interferons alpha and beta, as well as other interferon-induced genes. The protein plays an important role in the innate immune response against DNA and RNA viruses. Mutations in this gene are associated with Encephalopathy, acute, infection-induced, herpes-specific, 7. |
References |
|---|
| 1.J Immunol. 2020 Oct 15;205(8):1981-1989. 2.Viruses. 2019 Mar 12;11(3):246. |
Specification |
|
|---|---|
| Aliases | IIAE7 |
| Entrez GeneID | 3661 |
| Swissprot | Q14653 |
| clone | 2A10A8 |
| WB Predicted band size | 47.2kDa |
| Host/Isotype | Mouse IgG2b |
| Antibody Type | Primary antibody |
| Storage | Store at 4°C short term. Aliquot and store at -20°C long term. Avoid freeze/thaw cycles. |
| Species Reactivity | Human, Mouse, Rat |
| Immunogen | Purified recombinant fragment of human IRF3 (AA: 1-150) expressed in HEK293-6e cells supernatant. |
| Formulation | Purified antibody in PBS with 0.05% sodium azide |
Application |
|
|---|---|
| IHC | 1/200 - 1/1000 |
| IF | 1/200 - 1/1000 |
| FCM | 1/200 - 1/400 |
| ELISA | 1/10000 |
Product Image
-
Black line: Control Antigen (100 ng);Purple line: Antigen (10ng); Blue line: Antigen (50 ng); Red line:Antigen (100 ng)

-
Immunofluorescence analysis of Hela cells using IRF3 mouse mAb (green). Blue: DRAQ5 fluorescent DNA dye. Red: Actin filaments have been labeled with Alexa Fluor- 555 phalloidin. Secondary antibody from Fisher (Cat#: 35503)

-
Immunofluorescence analysis of NIH/3T3 cells using IRF3 mouse mAb (green). Blue: DRAQ5 fluorescent DNA dye. Red: Actin filaments have been labeled with Alexa Fluor- 555 phalloidin. Secondary antibody from Fisher (Cat#: 35503)

-
Immunofluorescence analysis of RSC96 cells using IRF3 mouse mAb (green). Blue: DRAQ5 fluorescent DNA dye. Red: Actin filaments have been labeled with Alexa Fluor- 555 phalloidin. Secondary antibody from Fisher (Cat#: 35503)

-
Flow cytometric analysis of Hela cells using IRF3 mouse mAb (green) and negative control (red).

-
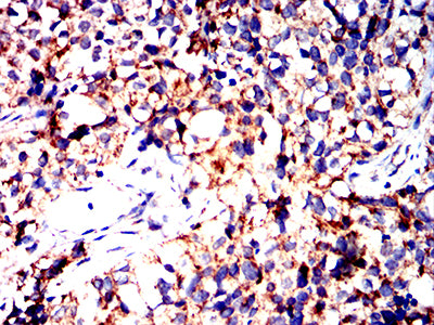
Immunohistochemical analysis of paraffin-embedded human bladder cancer tissues using IRF3 mouse mAb with DAB staining.

-
Immunohistochemical analysis of paraffin-embedded human lung cancer tissues using IRF3 mouse mAb with DAB staining.

-
Immunohistochemical analysis of paraffin-embedded human cervical cancer tissues using IRF3 mouse mAb with DAB staining.

-
Immunohistochemical analysis of paraffin-embedded human colon cancer tissues using IRF3 mouse mAb with DAB staining.

-
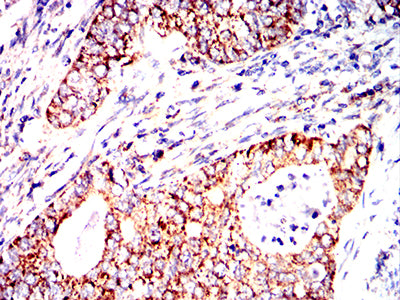
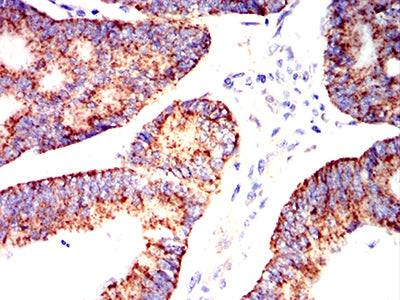
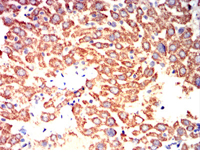
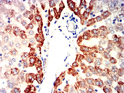
Immunohistochemical analysis of paraffin-embedded mouse liver tissues using IRF3 mouse mAb with DAB staining.

-
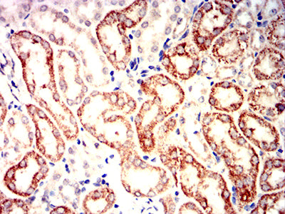
Immunohistochemical analysis of paraffin-embedded mouse kidney tissues using IRF3 mouse mAb with DAB staining.

-
Immunohistochemical analysis of paraffin-embedded rat liver tissues using IRF3 mouse mAb with DAB staining.

-
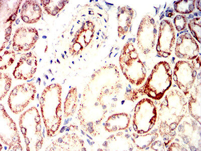
Immunohistochemical analysis of paraffin-embedded rat kidney tissues using IRF3 mouse mAb with DAB staining.














鄂公网安备42018502007531号

