Mouse Monoclonal Antibody to HNF1B
货号:
32397
别名:
T2D; FJHN; HNF2; LFB3; RCAD; TCF2; HPC11; LF-B3; MODY5; TCF-2; VHNF1; ADTKD3; HNF-1B; HNF1beta; HNF-1-beta
应用:
WB,IHC,IF,FCM
反应种属:
Human, Mouse, Rat
抗体类型:
Primary antibody
Swissprot:
P35680
规格:
目录价
在线咨询
Description |
|---|
This gene encodes a member of the homeodomain-containing superfamily of transcription factors. The protein binds to DNA as either a homodimer, or a heterodimer with the related protein hepatocyte nuclear factor 1-alpha. The gene has been shown to function in nephron development, and regulates development of the embryonic pancreas. Mutations in this gene result in renal cysts and diabetes syndrome and noninsulin-dependent diabetes mellitus, and expression of this gene is altered in some types of cancer. Multiple transcript variants encoding different isoforms have been found for this gene. |
References |
|---|
| 1.Int J Med Sci. 2020 Oct 18;17(18):2895-2904. 2.Sci Rep. 2020 Oct 13;10(1):17151. |
Specification |
|
|---|---|
| Aliases | T2D; FJHN; HNF2; LFB3; RCAD; TCF2; HPC11; LF-B3; MODY5; TCF-2; VHNF1; ADTKD3; HNF-1B; HNF1beta; HNF-1-beta |
| Entrez GeneID | 6928 |
| Swissprot | P35680 |
| clone | 4H5C7 |
| WB Predicted band size | 61.3kDa |
| Host/Isotype | Mouse IgG2a |
| Antibody Type | Primary antibody |
| Storage | Store at 4°C short term. Aliquot and store at -20°C long term. Avoid freeze/thaw cycles. |
| Species Reactivity | Human, Mouse, Rat |
| Immunogen | Purified recombinant fragment of human HNF1B (AA: 23-132) expressed in E. Coli. |
| Formulation | Purified antibody in PBS with 0.05% sodium azide |
Application |
|
|---|---|
| WB | 1/500 - 1/2000 |
| IHC | 1/200 - 1/1000 |
| IF | 1/50 - 1/200 |
| FCM | 1/200 - 1/400 |
| ELISA | 1/10000 |
Product Image
-
Black line: Control Antigen (100 ng);Purple line: Antigen (10ng); Blue line: Antigen (50 ng); Red line:Antigen (100 ng)

-
Western blot analysis using HNF1B mouse mAb against Hela (1) cell lysate.

-
Immunofluorescence analysis of Hela cells using HNF1B mouse mAb (green). Blue: DRAQ5 fluorescent DNA dye. Red: Actin filaments have been labeled with Alexa Fluor- 555 phalloidin. Secondary antibody from Fisher (Cat#: 35503)

-
Flow cytometric analysis of PC-3 cells using HNF1B mouse mAb (green) and negative control (red).

-
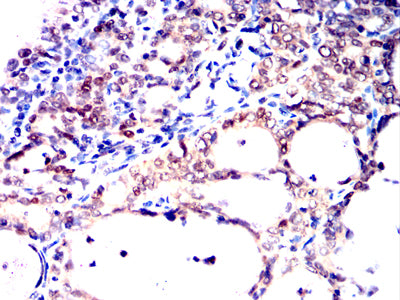
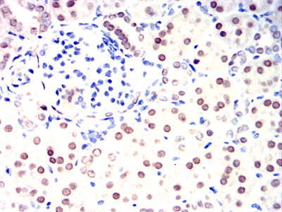
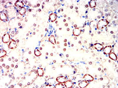
Immunohistochemical analysis of paraffin-embedded rat kidney tissues using HNF1B mouse mAb with DAB staining.

-
Immunohistochemical analysis of paraffin-embedded human cervical cancer tissues using HNF1B mouse mAb with DAB staining.

-
Immunohistochemical analysis of paraffin-embedded rabbit kidney tissues using HNF1B mouse mAb with DAB staining.

-
Immunohistochemical analysis of paraffin-embedded mouse kidney tissues using HNF1B mouse mAb with DAB staining.

-
Immunohistochemical analysis of paraffin-embedded human rectum cancer tissues using HNF1B mouse mAb with DAB staining.










鄂公网安备42018502007531号

