Mouse Monoclonal Antibody to NPM3
货号:
32403
别名:
PORMIN; TMEM123
应用:
IHC,IF,FCM
反应种属:
Human, Mouse
抗体类型:
Primary antibody
Swissprot:
O75607
规格:
目录价
在线咨询
Description |
|---|
The protein encoded by this gene is related to the nuclear chaperone phosphoproteins, nucleoplasmin and nucleophosmin. This protein is strongly expressed in diverse cell types where it localizes primarily to the nucleus. Based on its similarity to nucleoplasmin and nucleophosmin, this protein likely functions as a molecular chaperone in the cell nucleus. |
References |
|---|
| 1.Nucleic Acids Res. 2012 Jun;40(11):4861-78. 2.Cell Chem Biol. 2018 Jan 18;25(1):110-120.e3. |
Specification |
|
|---|---|
| Aliases | PORMIN; TMEM123 |
| Entrez GeneID | 10360 |
| Swissprot | O75607 |
| clone | 2A3B1 |
| WB Predicted band size | 19kDa |
| Host/Isotype | Mouse IgG1 |
| Antibody Type | Primary antibody |
| Storage | Store at 4°C short term. Aliquot and store at -20°C long term. Avoid freeze/thaw cycles. |
| Species Reactivity | Human, Mouse |
| Immunogen | Purified recombinant fragment of human NPM3 (AA: full 1-178) expressed in E. Coli. |
| Formulation | Purified antibody in PBS with 0.05% sodium azide |
Application |
|
|---|---|
| IHC | 1/200 - 1/1000 |
| IF | 1/50 - 1/200 |
| FCM | 1/200 - 1/400 |
| ELISA | 1/10000 |
Product Image
-
Black line: Control Antigen (100 ng);Purple line: Antigen (10ng); Blue line: Antigen (50 ng); Red line:Antigen (100 ng)

-
Immunofluorescence analysis of Hela cells using NPM3 mouse mAb (green). Blue: DRAQ5 fluorescent DNA dye. Red: Actin filaments have been labeled with Alexa Fluor- 555 phalloidin. Secondary antibody from Fisher (Cat#: 35503)

-
Flow cytometric analysis of Hek293 cells using NPM3 mouse mAb (green) and negative control (red).

-
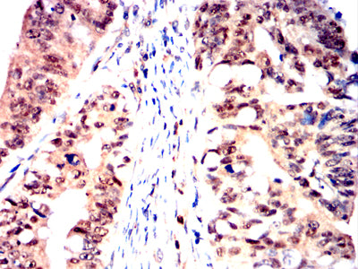
Immunohistochemical analysis of paraffin-embedded human esophageal cancer tissues using NPM3 mouse mAb with DAB staining.

-
Immunohistochemical analysis of paraffin-embedded human rectum cancer tissues using NPM3 mouse mAb with DAB staining.

-
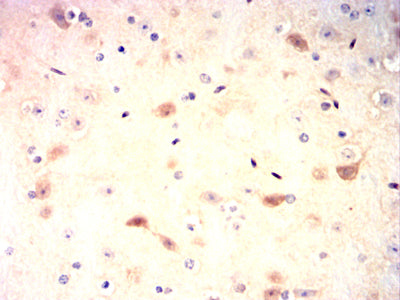
Immunohistochemical analysis of paraffin-embedded mouse brain tissues using NPM3 mouse mAb with DAB staining.

-
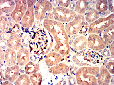
Immunohistochemical analysis of paraffin-embedded mouse kidney tissues using NPM3 mouse mAb with DAB staining.








鄂公网安备42018502007531号

