Mouse Monoclonal Antibody to RAD23B
货号:
32390
别名:
P58; HR23B; HHR23B
应用:
WB,IHC,IF,FCM
反应种属:
Human, Mouse
抗体类型:
Primary antibody
Swissprot:
P54727
规格:
目录价
在线咨询
Description |
|---|
The protein encoded by this gene is one of two human homologs of Saccharomyces cerevisiae Rad23, a protein involved in the nucleotide excision repair (NER). This protein was found to be a component of the protein complex that specifically complements the NER defect of xeroderma pigmentosum group C (XP-c) cell extracts in vitro. This protein was also shown to interact with, and elevate the nucleotide excision activity of 3-methyladenine-DNA glycosylase (MPG), which suggested a role in DNA damage recognition in base excision repair. This protein contains an N-terminal ubiquitin-like domain, which was reported to interact with 26S proteasome, and thus this protein may be involved in the ubiquitin mediated proteolytic pathway in cells. Alternative splicing results in multiple transcript variants encoding distinct isoforms. |
References |
|---|
| 1.J Proteome Res. 2014 Jul 3;13(7):3212-22. 2.PLoS One. 2014 Mar 18;9(3):e91922. |
Specification |
|
|---|---|
| Aliases | P58; HR23B; HHR23B |
| Entrez GeneID | 5887 |
| Swissprot | P54727 |
| clone | 6D2B3 |
| WB Predicted band size | 43.2kDa |
| Host/Isotype | Mouse IgG1 |
| Antibody Type | Primary antibody |
| Storage | Store at 4°C short term. Aliquot and store at -20°C long term. Avoid freeze/thaw cycles. |
| Species Reactivity | Human, Mouse |
| Immunogen | Purified recombinant fragment of human RAD23B expressed in E. Coli. |
| Formulation | Purified antibody in PBS with 0.05% sodium azide |
Application |
|
|---|---|
| WB | 1/500 - 1/2000 |
| IHC | 1/200 - 1/1000 |
| IF | 1/100 - 1/400 |
| FCM | 1/200 - 1/400 |
Product Image
-
Western blot analysis using RAD23B mouse mAb against K562 (1), Hela (2), A431 (3), HL-60 (4), Jurkat (5), A549 (6), HUVEC (7) and NIH/3T3 (8) cell lysate.

-
Immunofluorescence analysis of Hela cells using RAD23B mouse mAb (green). Blue: DRAQ5 fluorescent DNA dye. Red: Actin filaments have been labeled with Alexa Fluor- 555 phalloidin. Secondary antibody from Fisher (Cat#: 35503)

-
Flow cytometric analysis of Jurkat cells using RAD23B mouse mAb (green) and negative control (red).

-
Immunohistochemical analysis of paraffin-embedded human ovarian cancer tissues using RAD23B mouse mAb with DAB staining.

-
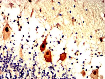
Immunohistochemical analysis of paraffin-embedded human cerebellum tissues using RAD23B mouse mAb with DAB staining.






鄂公网安备42018502007531号

