Mouse Monoclonal Antibody to S100A4
货号:
32405
别名:
42A; 18A2; CAPL; FSP1; MTS1; P9KA; PEL98
应用:
IHC,FCM
反应种属:
Human, Mouse, Rat
抗体类型:
Primary antibody
Swissprot:
P26447
规格:
目录价
在线咨询
Description |
|---|
The protein encoded by this gene is a member of the S100 family of proteins containing 2 EF-hand calcium-binding motifs. S100 proteins are localized in the cytoplasm and/or nucleus of a wide range of cells, and involved in the regulation of a number of cellular processes such as cell cycle progression and differentiation. S100 genes include at least 13 members which are located as a cluster on chromosome 1q21. This protein may function in motility, invasion, and tubulin polymerization. Chromosomal rearrangements and altered expression of this gene have been implicated in tumor metastasis. Multiple alternatively spliced variants, encoding the same protein, have been identified. |
References |
|---|
| 1.Int J Mol Sci. 2021 Apr 29;22(9):4720. 2.In Vivo. Jul-Aug 2021;35(4):2099-2106. |
Specification |
|
|---|---|
| Aliases | 42A; 18A2; CAPL; FSP1; MTS1; P9KA; PEL98 |
| Entrez GeneID | 6275 |
| Swissprot | P26447 |
| clone | 4A5A7 |
| WB Predicted band size | 11.7kDa |
| Host/Isotype | Mouse IgG1 |
| Antibody Type | Primary antibody |
| Storage | Store at 4°C short term. Aliquot and store at -20°C long term. Avoid freeze/thaw cycles. |
| Species Reactivity | Human, Mouse, Rat |
| Immunogen | Purified recombinant fragment of human S100A4 (AA: 2-101) expressed in E. Coli. |
| Formulation | Purified antibody in PBS with 0.05% sodium azide |
Application |
|
|---|---|
| IHC | 1/200 - 1/1000 |
| FCM | 1/200 - 1/400 |
| ELISA | 1/10000 |
Product Image
-
Black line: Control Antigen (100 ng);Purple line: Antigen (10ng); Blue line: Antigen (50 ng); Red line:Antigen (100 ng)

-
Flow cytometric analysis of Hela cells using S100A4 mouse mAb (green) and negative control (red).

-
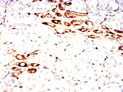
Immunohistochemical analysis of paraffin-embedded human cervical cancer tissues using S100A4 mouse mAb with DAB staining.

-
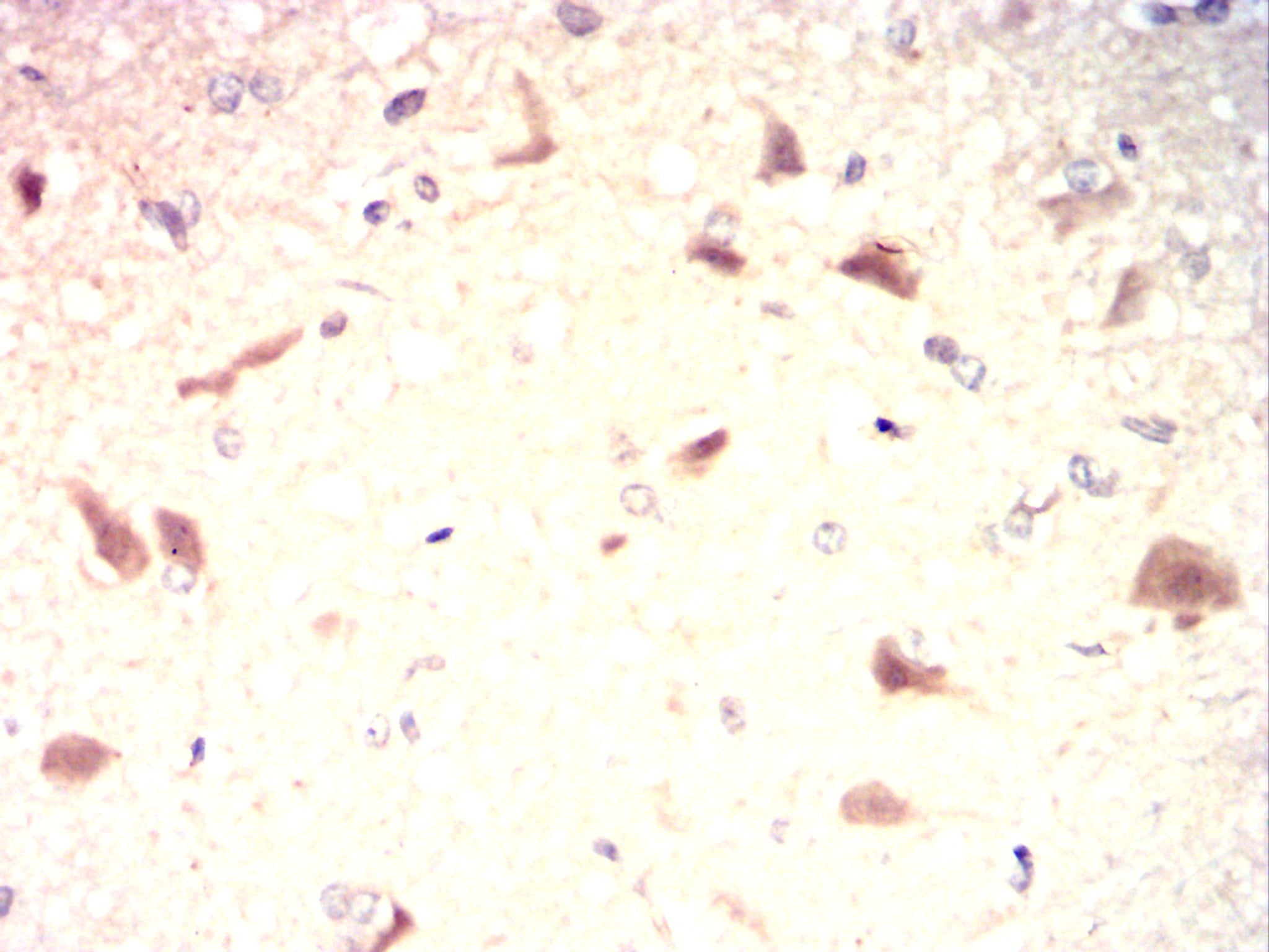
Immunohistochemical analysis of paraffin-embedded human brain tissues using S100A4 mouse mAb with DAB staining.

-
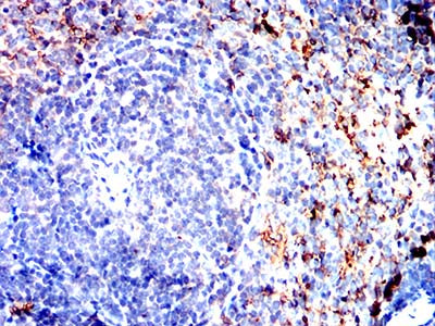
Immunohistochemical analysis of paraffin-embedded mouse spleen tissues using S100A4 mouse mAb with DAB staining.

-
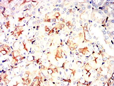
Immunohistochemical analysis of paraffin-embedded mouse kidney tissues using S100A4 mouse mAb with DAB staining.

-
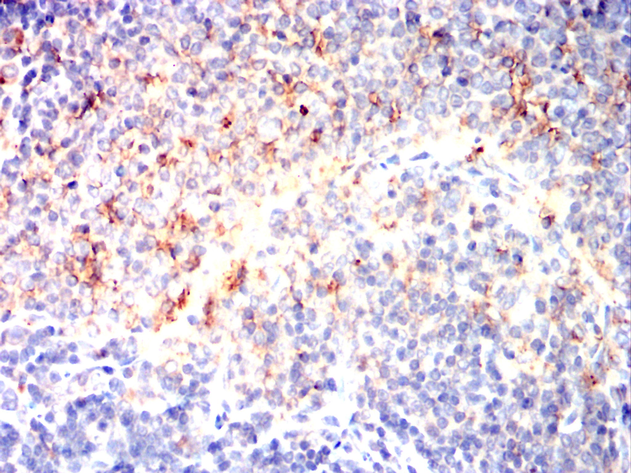
Immunohistochemical analysis of paraffin-embedded rat spleen tissues using S100A4 mouse mAb with DAB staining.

-
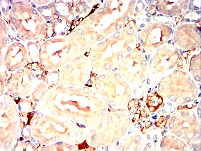
Immunohistochemical analysis of paraffin-embedded rat kidney tissues using S100A4 mouse mAb with DAB staining.

-
Immunohistochemical analysis of paraffin-embedded rabbit brain tissues using S100A4 mouse mAb with DAB staining.

-
Immunohistochemical analysis of paraffin-embedded rabbit kidney tissues using S100A4 mouse mAb with DAB staining.











鄂公网安备42018502007531号

