Mouse Monoclonal Antibody to PDXK
货号:
32391
别名:
PKH; PNK; HMSN6C; PRED79; C21orf97; HEL-S-1a; C21orf124
应用:
WB,IHC,IF,FCM
反应种属:
Human, Mouse
抗体类型:
Primary antibody
Swissprot:
O00764
规格:
目录价
在线咨询
Description |
|---|
The protein encoded by this gene phosphorylates vitamin B6, a step required for the conversion of vitamin B6 to pyridoxal-5-phosphate, an important cofactor in intermediary metabolism. The encoded protein is cytoplasmic and probably acts as a homodimer. Alternatively spliced transcript variants have been described, but their biological validity has not been determined. |
References |
|---|
| 1.Ann Neurol. 2010 Mar;67(3):411-2; author reply 412. 2.Xi Bao Yu Fen Zi Mian Yi Xue Za Zhi. 2020 Jun;36(6):542-548. |
Specification |
|
|---|---|
| Aliases | PKH; PNK; HMSN6C; PRED79; C21orf97; HEL-S-1a; C21orf124 |
| Entrez GeneID | 8566 |
| Swissprot | O00764 |
| clone | 4B4G3 |
| WB Predicted band size | 35kDa |
| Host/Isotype | Mouse IgG1 |
| Antibody Type | Primary antibody |
| Storage | Store at 4°C short term. Aliquot and store at -20°C long term. Avoid freeze/thaw cycles. |
| Species Reactivity | Human, Mouse |
| Immunogen | Purified recombinant fragment of human PDXK (AA:1-312) expressed in E. Coli. |
| Formulation | Purified antibody in PBS with 0.05% sodium azide |
Application |
|
|---|---|
| WB | 1/500 - 1/2000 |
| IHC | 1/200 - 1/1000 |
| IF | 1/50 - 1/200 |
| FCM | 1/200 - 1/400 |
Product Image
-
Western blot analysis using PDXK mouse mAb against Hela (1), HepG2 (2), MCF-7 (3), HEK293 (4), mouse liver (5) and mouse kidney (6) cell lysate.

-
Immunofluorescence analysis of Hala cells using PDXK mouse mAb (green). Blue: DRAQ5 fluorescent DNA dye. Red: Actin filaments have been labeled with Alexa Fluor- 555 phalloidin. Secondary antibody from Fisher (Cat#: 35503)

-
Flow cytometric analysis of HEK293 cells using PDXK mouse mAb (green) and negative control (red).

-
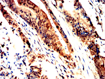
Immunohistochemical analysis of paraffin-embedded human cervical cancer tissues using PDXK mouse mAb with DAB staining.

-
Immunohistochemical analysis of paraffin-embedded human colon cancer tissues using PDXK mouse mAb with DAB staining.






鄂公网安备42018502007531号

