Mouse Monoclonal Antibody to RFA2
货号:
32393
别名:
RP-A p34, RPA2, REPA2, RPA32, RPA34
应用:
WB,IHC,FCM
反应种属:
Human
抗体类型:
Primary antibody
Swissprot:
P15927
规格:
目录价
在线咨询
Description |
|---|
This gene encodes a subunit of the heterotrimeric Replication Protein A (RPA) complex, which binds to single-stranded DNA (ssDNA), forming a nucleoprotein complex that plays an important role in DNA metabolism, being involved in DNA replication, repair, recombination, telomere maintenance, and co-ordinating the cellular response to DNA damage through activation of the ataxia telangiectasia and Rad3-related protein (ATR) kinase. The RPA complex protects single-stranded DNA from nucleases, prevents formation of secondary structures that would interfere with repair, and co-ordinates the recruitment and departure of different genome maintenance factors. The heterotrimeric complex has two different modes of ssDNA binding, a low-affinity and high-affinity mode, determined by which oligonucleotide/oligosaccharide-binding (OB) domains of the complex are utilized, and differing in the length of DNA bound. This subunit contains a single OB domain that participates in high-affinity DNA binding and also contains a winged helix domain at its carboxy terminus, which interacts with many genome maintenance protein. Post-translational modifications of the RPA complex also plays a role in co-ordinating different damage response pathways. |
References |
|---|
| 1.Nucleic Acids Res. 2021 Apr 19;49(7):3948-3966. 2.Carcinogenesis. 2010 Jun;31(6):994-1002. |
Specification |
|
|---|---|
| Aliases | RP-A p34, RPA2, REPA2, RPA32, RPA34 |
| Entrez GeneID | 6118 |
| Swissprot | P15927 |
| clone | 2C5B6 |
| WB Predicted band size | 29kDa |
| Host/Isotype | Mouse IgG1 |
| Antibody Type | Primary antibody |
| Storage | Store at 4°C short term. Aliquot and store at -20°C long term. Avoid freeze/thaw cycles. |
| Species Reactivity | Human |
| Immunogen | Purified recombinant fragment of human RFA2 expressed in E. Coli. |
| Formulation | Purified antibody in PBS with 0.05% sodium azide |
Application |
|
|---|---|
| WB | 1/500 - 1/2000 |
| IHC | 1/200 - 1/1000 |
| FCM | 1/200 - 1/400 |
Product Image
-
Western blot analysis using RFA2 mouse mAb against Hela (1), MCF-7 (2), T47D (3), Ramos (4), HEK293 (5), HepG2 (6) and A431 (7) cell lysate.

-
Flow cytometric analysis of Hela cells using RFA2 mouse mAb (green) and negative control (red).

-
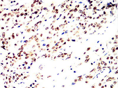
Immunohistochemical analysis of paraffin-embedded human liver tissues using RFA2 mouse mAb with DAB staining.

-
Immunohistochemical analysis of paraffin-embedded human bladder cancer tissues using RFA2 mouse mAb with DAB staining.

-
Immunohistochemical analysis of paraffin-embedded human esophageal cancer tissues using RFA2 mouse mAb with DAB staining.

-
Immunohistochemical analysis of paraffin-embedded human rectum cancer tissues using RFA2 mouse mAb with DAB staining.







鄂公网安备42018502007531号

