Mouse Monoclonal Antibody to ULK3
货号:
32395
别名:
应用:
WB,IHC,IF,FCM
反应种属:
Human, Rat
抗体类型:
Primary antibody
Swissprot:
Q6PHR2
规格:
目录价
在线咨询
Description |
|---|
Enables protein serine/threonine kinase activity. Involved in several processes, including fibroblast activation; protein autophosphorylation; and regulation of smoothened signaling pathway. Located in cytoplasm. |
References |
|---|
| 1.Biochem J. 2021 Jul 30;478(14):2811-2823. 2.Elife. 2015 May 26;4:e06547. |
Specification |
|
|---|---|
| Entrez GeneID | 25989 |
| Swissprot | Q6PHR2 |
| clone | 5A5G2 |
| WB Predicted band size | 53.4kDa |
| Host/Isotype | Mouse IgG1 |
| Antibody Type | Primary antibody |
| Storage | Store at 4°C short term. Aliquot and store at -20°C long term. Avoid freeze/thaw cycles. |
| Species Reactivity | Human, Rat |
| Immunogen | Purified recombinant fragment of human ULK3 expressed in E. Coli. |
| Formulation | Purified antibody in PBS with 0.05% sodium azide |
Application |
|
|---|---|
| WB | 1/500 - 1/2000 |
| IHC | 1/200 - 1/1000 |
| IF | 1/50 - 1/200 |
| FCM | 1/200 - 1/400 |
Product Image
-
Western blot analysis using ULK3 mouse mAb against rat testis (1), PC-3 (2), DU145 (3),HEK293 (4),LNCAP (5)and Hela (6) cell lysate.

-
Immunofluorescence analysis of Hela cells using ULK3 mouse mAb (green). Blue: DRAQ5 fluorescent DNA dye. Red: Actin filaments have been labeled with Alexa Fluor- 555 phalloidin. Secondary antibody from Fisher (Cat#: 35503)

-
Flow cytometric analysis of HEK293 cells using ULK3 mouse mAb (green) and negative control (red).

-
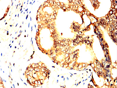
Immunohistochemical analysis of paraffin-embedded human cervical cancer tissues using ULK3 mouse mAb with DAB staining.

-
Immunohistochemical analysis of paraffin-embedded human prostate cancer tissues using ULK3 mouse mAb with DAB staining.






鄂公网安备42018502007531号

