Mouse Monoclonal Antibody to C9orf72
货号:
32410
别名:
ALSFTD; DENND9; FTDALS; DENNL72; FTDALS1
应用:
WB,IHC,IF,FCM
反应种属:
Human, Mouse, Monkey, Rat
抗体类型:
Primary antibody
Swissprot:
规格:
目录价
在线咨询
Description |
|---|
The protein encoded by this gene plays an important role in the regulation of endosomal trafficking, and has been shown to interact with Rab proteins that are involved in autophagy and endocytic transport. Expansion of a GGGGCC repeat from 2-22 copies to 700-1600 copies in the intronic sequence between alternate 5' exons in transcripts from this gene is associated with 9p-linked ALS (amyotrophic lateral sclerosis) and FTD (frontotemporal dementia) (PMID: 21944778, 21944779). Studies suggest that hexanucleotide expansions could result in the selective stabilization of repeat-containing pre-mRNA, and the accumulation of insoluble dipeptide repeat protein aggregates that could be pathogenic in FTD-ALS patients (PMID: 23393093). Alternative splicing results in multiple transcript variants encoding different isoforms. |
References |
|---|
| 1.Sci Rep. 2021 Dec 1;11(1):23213. 2.RNA. 2022 Feb;28(2):123-138. |
Specification |
|
|---|---|
| Aliases | ALSFTD; DENND9; FTDALS; DENNL72; FTDALS1 |
| Entrez GeneID | 203228 |
| clone | 6D6F12 |
| WB Predicted band size | 54.3kDa |
| Host/Isotype | Mouse IgG2b |
| Antibody Type | Primary antibody |
| Storage | Store at 4°C short term. Aliquot and store at -20°C long term. Avoid freeze/thaw cycles. |
| Species Reactivity | Human, Mouse, Monkey, Rat |
| Immunogen | Purified recombinant fragment of human C9orf72 (AA: 110-199) expressed in E. Coli. |
| Formulation | Purified antibody in PBS with 0.05% sodium azide |
Application |
|
|---|---|
| WB | 1/500 - 1/2000 |
| IHC | 1/200 - 1/1000 |
| IF | 1/200 - 1/1000 |
| FCM | 1/200 - 1/400 |
| ELISA | 1/10000 |
Product Image
-
Black line: Control Antigen (100 ng);Purple line: Antigen (10ng); Blue line: Antigen (50 ng); Red line:Antigen (100 ng)

-
Western blot analysis using C9orf72 mouse mAb against C6 (1), PC-12 (2),COS-7 (3),NIH/3T3 (4) and SK-N-SH (5) cell lysate.

-
Immunofluorescence analysis of Hela cells using C9orf72 mouse mAb (green). Blue: DRAQ5 fluorescent DNA dye. Red: Actin filaments have been labeled with Alexa Fluor- 555 phalloidin. Secondary antibody from Fisher (Cat#: 35503)

-
Flow cytometric analysis of Hela cells using C9orf72 mouse mAb (green) and negative control (red).

-
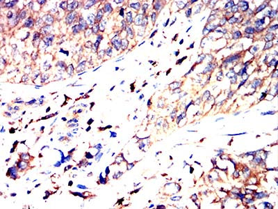
Immunohistochemical analysis of paraffin-embedded human bladder cancer tissues using C9orf72 mouse mAb with DAB staining.

-
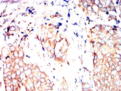
Immunohistochemical analysis of paraffin-embedded human breast cancer tissues using C9orf72 mouse mAb with DAB staining.

-
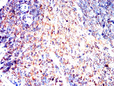
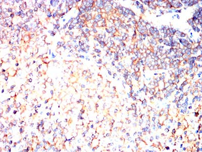
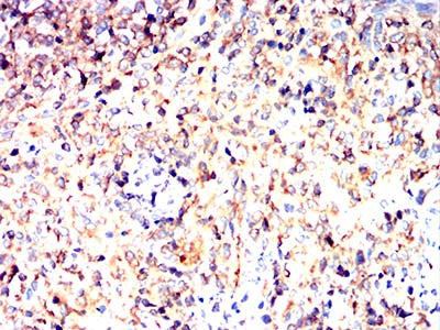
Immunohistochemical analysis of paraffin-embedded mouse spleen tissues using C9orf72 mouse mAb with DAB staining.

-
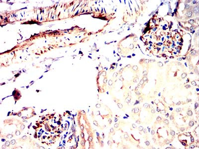
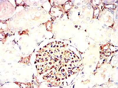
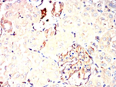
Immunohistochemical analysis of paraffin-embedded mouse kidney tissues using C9orf72 mouse mAb with DAB staining.

-
Immunohistochemical analysis of paraffin-embedded rat spleen tissues using C9orf72 mouse mAb with DAB staining.

-
Immunohistochemical analysis of paraffin-embedded rat kidney tissues using C9orf72 mouse mAb with DAB staining.

-
Immunohistochemical analysis of paraffin-embedded rabbit spleen tissues using C9orf72 mouse mAb with DAB staining.

-
Immunohistochemical analysis of paraffin-embedded rabbit kidney tissues using C9orf72 mouse mAb with DAB staining.













鄂公网安备42018502007531号

