Mouse Monoclonal Antibody to UCHL1
货号:
32383
别名:
NDGOA; PARK5; PGP95; SPG79; PGP9.5; Uch-L1; HEL-117; PGP 9.5; HEL-S-53
应用:
WB,IHC,IF,FCM
反应种属:
Human, Mouse, Rat
抗体类型:
Primary antibody
Swissprot:
P09936
规格:
目录价
在线咨询
Description |
|---|
The protein encoded by this gene belongs to the peptidase C12 family. This enzyme is a thiol protease that hydrolyzes a peptide bond at the C-terminal glycine of ubiquitin. This gene is specifically expressed in the neurons and in cells of the diffuse neuroendocrine system. Mutations in this gene may be associated with Parkinson disease. |
References |
|---|
| 1.Arq Neuropsiquiatr. 2020 Jul;78(7):424-429. 2.Theranostics. 2020 May 15;10(13):6048-6060. |
Specification |
|
|---|---|
| Aliases | NDGOA; PARK5; PGP95; SPG79; PGP9.5; Uch-L1; HEL-117; PGP 9.5; HEL-S-53 |
| Entrez GeneID | 7345 |
| Swissprot | P09936 |
| clone | 1B4H3 |
| WB Predicted band size | 24.8kDa |
| Host/Isotype | Mouse IgG2b |
| Antibody Type | Primary antibody |
| Storage | Store at 4°C short term. Aliquot and store at -20°C long term. Avoid freeze/thaw cycles. |
| Species Reactivity | Human, Mouse, Rat |
| Immunogen | Purified recombinant fragment of human UCHL1 (AA: 1-220) expressed in E. Coli. |
| Formulation | Purified antibody in PBS with 0.05% sodium azide |
Application |
|
|---|---|
| WB | 1/500 - 1/2000 |
| IHC | 1/200 - 1/1000 |
| IF | 1/50 - 1/200 |
| FCM | 1/200 - 1/400 |
| ELISA | 1/10000 |
Product Image
-
Black line: Control Antigen (100 ng);Purple line: Antigen (10ng); Blue line: Antigen (50 ng); Red line:Antigen (100 ng)

-
Western blot analysis using UCHL1 mouse mAb against mouse brain (1), and rat brain (2) cell lysate.

-
Immunofluorescence analysis of Hela cells using UCHL1 mouse mAb (green). Blue: DRAQ5 fluorescent DNA dye. Red: Actin filaments have been labeled with Alexa Fluor- 555 phalloidin. Secondary antibody from Fisher (Cat#: 35503)

-
Flow cytometric analysis of Hek293 cells using UCHL1 mouse mAb (green) and negative control (red).

-
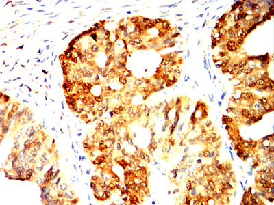
Immunohistochemical analysis of paraffin-embedded human ovarian cancer tissues using UCHL1 mouse mAb with DAB staining.

-
Immunohistochemical analysis of paraffin-embedded human brain tissues using UCHL1 mouse mAb with DAB staining.

-
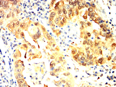
Immunohistochemical analysis of paraffin-embedded human endometrial cancer tissues using UCHL1 mouse mAb with DAB staining.








鄂公网安备42018502007531号

