Mouse Monoclonal Antibody to SLC22A12
货号:
32351
别名:
RST; OAT4L; URAT1
应用:
WB,IHC,FCM
反应种属:
Human, Mouse
抗体类型:
Primary antibody
Swissprot:
Q96S37
规格:
目录价
在线咨询
Description |
|---|
The protein encoded by this gene is a member of the organic anion transporter (OAT) family, and it acts as a urate transporter to regulate urate levels in blood. This protein is an integral membrane protein primarily found in epithelial cells of the proximal tubule of the kidney. An elevated level of serum urate, hyperuricemia, is associated with increased incidences of gout, and mutations in this gene cause renal hypouricemia type 1. Alternative splicing results in multiple transcript variants. |
References |
|---|
| 1.Rheumatology (Oxford). 2020 Dec 1;59(12):3988-3990. 2.PLoS One. 2020 Apr 9;15(4):e0231336. |
Specification |
|
|---|---|
| Aliases | RST; OAT4L; URAT1 |
| Entrez GeneID | 116085 |
| Swissprot | Q96S37 |
| clone | 1B1G7 |
| WB Predicted band size | 59.6kDa |
| Host/Isotype | Mouse IgG1 |
| Antibody Type | Primary antibody |
| Storage | Store at 4°C short term. Aliquot and store at -20°C long term. Avoid freeze/thaw cycles. |
| Species Reactivity | Human, Mouse |
| Immunogen | Purified recombinant fragment of human SLC22A12 (AA: 30-145) expressed in E. Coli. |
| Formulation | Purified antibody in PBS with 0.05% sodium azide |
Application |
|
|---|---|
| WB | 1/500 - 1/2000 |
| IHC | 1/200 - 1/1000 |
| FCM | 1/200 - 1/400 |
| ELISA | 1/10000 |
Product Image
-
Black line: Control Antigen (100 ng);Purple line: Antigen (10ng); Blue line: Antigen (50 ng); Red line:Antigen (100 ng)

-
Western blot analysis using SLC22A12 mouse mAb against mouse kindey(1) tissue lysate.

-
Flow cytometric analysis of Hela cells using SLC22A12 mouse mAb (green) and negative control (red).

-
Flow cytometric analysis of HepG2 cells using SLC22A12 mouse mAb (green) and negative control (red).

-
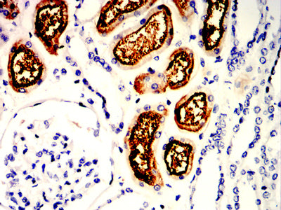
Immunohistochemical analysis of paraffin-embedded human kidney tissues using SLC22A12 mouse mAb with DAB staining.






鄂公网安备42018502007531号

