Mouse Monoclonal Antibody to SLC7A3
货号:
32355
别名:
CAT3; ATRC3; CAT-3
应用:
WB,IHC,FCM
反应种属:
Human, Mouse, Rat
抗体类型:
Primary antibody
Swissprot:
Q8WY07
规格:
目录价
在线咨询
Description |
|---|
This gene encodes a member of the solute carrier family 7. The encoded protein is a sodium-independent cationic amino acid transporter. Alternate splicing results in multiple transcripts that encoded the same protein. |
References |
|---|
| 1.Biochim Biophys Acta. 2005 Mar 1;1668(2):234-9. 2.Biochemistry. 2001 Oct 16;40(41):12387-94. |
Specification |
|
|---|---|
| Aliases | CAT3; ATRC3; CAT-3 |
| Entrez GeneID | 84889 |
| Swissprot | Q8WY07 |
| clone | 6H3B7 |
| WB Predicted band size | 67.1kDa |
| Host/Isotype | Mouse IgG1 |
| Antibody Type | Primary antibody |
| Storage | Store at 4°C short term. Aliquot and store at -20°C long term. Avoid freeze/thaw cycles. |
| Species Reactivity | Human, Mouse, Rat |
| Immunogen | Purified recombinant fragment of human SLC7A3 (AA: extra mix) expressed in E. Coli. |
| Formulation | Purified antibody in PBS with 0.05% sodium azide |
Application |
|
|---|---|
| WB | 1/500 - 1/2000 |
| IHC | 1/200 - 1/1000 |
| FCM | 1/200 - 1/400 |
| ELISA | 1/10000 |
Product Image
-
Black line: Control Antigen (100 ng);Purple line: Antigen (10ng); Blue line: Antigen (50 ng); Red line:Antigen (100 ng)

-
Western blot analysis using SLC7A3 mouse mAb against Mouse Lung (1) and Rat Lung (2) tissue lysate.

-
Flow cytometric analysis of Hela cells using SLC7A3 mouse mAb (green) and negative control (red).

-
Immunohistochemical analysis of paraffin-embedded human testis tissues using SLC7A3 mouse mAb with DAB staining.

-
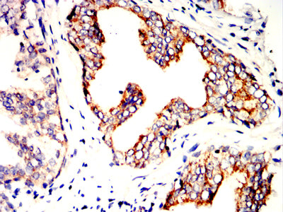
Immunohistochemical analysis of paraffin-embedded human prostate cancer tissues using SLC7A3 mouse mAb with DAB staining.






鄂公网安备42018502007531号

