Mouse Monoclonal Antibody to POU5F1
货号:
32357
别名:
OCT3; OCT4; OTF3; OTF4; OTF-3; Oct-3; Oct-4
应用:
IHC,FCM
反应种属:
Human
抗体类型:
Primary antibody
Swissprot:
Q01860
规格:
目录价
在线咨询
Description |
|---|
This gene encodes a transcription factor containing a POU homeodomain that plays a key role in embryonic development and stem cell pluripotency. Aberrant expression of this gene in adult tissues is associated with tumorigenesis. This gene can participate in a translocation with the Ewing's sarcoma gene on chromosome 21, which also leads to tumor formation. Alternative splicing, as well as usage of alternative AUG and non-AUG translation initiation codons, results in multiple isoforms. One of the AUG start codons is polymorphic in human populations. Related pseudogenes have been identified on chromosomes 1, 3, 8, 10, and 12. |
References |
|---|
| 1.Biomark Med. 2020 Oct;14(15):1473-1484. 2.Cancer Med. 2020 Dec;9(23):8782-8800. |
Specification |
|
|---|---|
| Aliases | OCT3; OCT4; OTF3; OTF4; OTF-3; Oct-3; Oct-4 |
| Entrez GeneID | 5460 |
| Swissprot | Q01860 |
| clone | 3C1F5 |
| WB Predicted band size | 38.5kDa |
| Host/Isotype | Mouse IgG1 |
| Antibody Type | Primary antibody |
| Storage | Store at 4°C short term. Aliquot and store at -20°C long term. Avoid freeze/thaw cycles. |
| Species Reactivity | Human |
| Immunogen | Purified recombinant fragment of human (AA: 136-360) expressed in E. Coli. |
| Formulation | Purified antibody in PBS with 0.05% sodium azide |
Application |
|
|---|---|
| IHC | 1/200 - 1/1000 |
| FCM | 1/200 - 1/400 |
| ELISA | 1/10000 |
Product Image
-
Black line: Control Antigen (100 ng);Purple line: Antigen (10ng); Blue line: Antigen (50 ng); Red line:Antigen (100 ng)

-
Flow cytometric analysis of Hela cells using POU5F1 mouse mAb (green) and negative control (red).

-
Flow cytometric analysis of K562 cells using POU5F1 mouse mAb (green) and negative control (red).

-
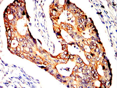
Immunohistochemical analysis of paraffin-embedded human colon cancer tissues using POU5F1 mouse mAb with DAB staining.

-
Immunohistochemical analysis of paraffin-embedded human rectum cancer tissues using POU5F1 mouse mAb with DAB staining.






鄂公网安备42018502007531号

