Mouse Monoclonal Antibody to MTDH
货号:
32328
别名:
3D3; AEG1; AEG-1; LYRIC; LYRIC/3D3
应用:
WB,IHC,IF,FCM
反应种属:
Human, Monkey
抗体类型:
Primary antibody
Swissprot:
Q86UE4
规格:
目录价
在线咨询
Description |
|---|
MTDH (Metadherin) is a Protein Coding gene. Diseases associated with MTDH include Tongue Carcinoma and Gallbladder Adenocarcinoma. Among its related pathways are Gastric Cancer Network 2 and Validated targets of C-MYC transcriptional activation. Gene Ontology (GO) annotations related to this gene include double-stranded RNA binding. An important paralog of this gene is MAMSTR. |
References |
|---|
| 1,Cell Death Dis. 2020 Apr 6;11(4):221. 2,Cancer Res. 2021 Feb 15;81(4):1014-1025. |
Specification |
|
|---|---|
| Aliases | 3D3; AEG1; AEG-1; LYRIC; LYRIC/3D3 |
| Entrez GeneID | 92140 |
| Swissprot | Q86UE4 |
| clone | 1F3A3 |
| WB Predicted band size | 75KDa |
| Host/Isotype | Mouse IgG1 |
| Antibody Type | Primary antibody |
| Storage | Store at 4°C short term. Aliquot and store at -20°C long term. Avoid freeze/thaw cycles. |
| Species Reactivity | Human, Monkey |
| Immunogen | Purified recombinant fragment of human MTDH (AA: 200-450) expressed in mammalian. |
| Formulation | Purified antibody in PBS with 0.05% sodium azide |
Application |
|
|---|---|
| WB | 1/500 - 1/2000 |
| IHC | 1/200 - 1/1000 |
| IF | 1/50 - 1/200 |
| FCM | 1/200 - 1/400 |
| ELISA | 1/10000 |
Product Image
-
Figure1:Black line: Control Antigen (100 ng);Purple line: Antigen (10ng); Blue line: Antigen (50 ng); Red line:Antigen (100 ng)

-
Western blot analysis using MTDH mouse mAb against MCF-7 (1), T47D (2), Jurkat (3) ,K562 (4), Hela(5), PC-3(6), HepG2(7), A431(8) and COS7 (9) cell lysate.

-
Immunofluorescence analysis of Hela cells using MTDH mouse mAb (green). Blue: DRAQ5 fluorescent DNA dye. Red: Actin filaments have been labeled with Alexa Fluor- 555 phalloidin. Secondary antibody from Fisher (Cat#: 35503)

-
Flow cytometric analysis of Hela cells using MTDH mouse mAb (green) and negative control (red).

-
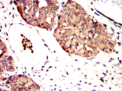
Immunohistochemical analysis of paraffin-embedded human ovarian cancer tissues using MTDH mouse mAb with DAB staining.

-
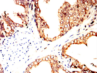
Immunohistochemical analysis of paraffin-embedded human prostate cancer tissues using MTDH mouse mAb with DAB staining.







鄂公网安备42018502007531号

