Mouse Monoclonal Antibody to RBMXL3
货号:
32345
别名:
CXorf55
应用:
IHC,IF,FCM
反应种属:
Human
抗体类型:
Primary antibody
Swissprot:
Q8N7X1
规格:
目录价
在线咨询
Description |
|---|
RBMXL3 (RBMX Like 3) is a Protein Coding gene. Diseases associated with RBMXL3 include Cardiomyopathy, Familial Restrictive, 3. Among its related pathways are mRNA Splicing - Major Pathway. Gene Ontology (GO) annotations related to this gene include nucleic acid binding and nucleotide binding. An important paralog of this gene is RBMXL2. |
References |
|---|
| 1.Am J Physiol Lung Cell Mol Physiol. 2021 May 1;320(5):L942-L957. 2.Proteomics. 2017 Apr;17(8). |
Specification |
|
|---|---|
| Aliases | CXorf55 |
| Entrez GeneID | 139804 |
| Swissprot | Q8N7X1 |
| clone | 1B6F4 |
| WB Predicted band size | 114kDa |
| Host/Isotype | Mouse IgG1 |
| Antibody Type | Primary antibody |
| Storage | Store at 4°C short term. Aliquot and store at -20°C long term. Avoid freeze/thaw cycles. |
| Species Reactivity | Human |
| Immunogen | Purified recombinant fragment of human RBMXL3(AA: 862-1067) expressed in E. Coli. |
| Formulation | Purified antibody in PBS with 0.05% sodium azide |
Application |
|
|---|---|
| IHC | 1/200 - 1/1000 |
| IF | 1/50 - 1/200 |
| FCM | 1/200 - 1/400 |
| ELISA | 1/10000 |
Product Image
-
Black line: Control Antigen (100 ng);Purple line: Antigen (10ng); Blue line: Antigen (50 ng); Red line:Antigen (100 ng)

-
Immunofluorescence analysis of Hela cells using RBMXL3 mouse mAb (green). Blue: DRAQ5 fluorescent DNA dye. Red: Actin filaments have been labeled with Alexa Fluor- 555 phalloidin. Secondary antibody from Fisher (Cat#: 35503)

-
Flow cytometric analysis of Raji cells using RBMXL3 mouse mAb (green) and negative control (red).

-
Immunohistochemical analysis of paraffin-embedded human testis tissues using RBMXL3 mouse mAb with DAB staining.

-
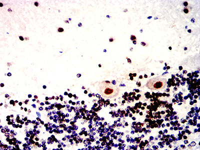
Immunohistochemical analysis of paraffin-embedded human cerebellum tissues using RBMXL3 mouse mAb with DAB staining.






鄂公网安备42018502007531号

