Mouse Monoclonal Antibody to CXCR7
货号:
32331
别名:
RDC1; CXCR7; RDC-1; CMKOR1; CXC-R7; CXCR-7; GPR159
应用:
IHC,IF,FCM
反应种属:
Human
抗体类型:
Primary antibody
Swissprot:
P25106
规格:
目录价
在线咨询
Description |
|---|
This gene encodes a member of the G-protein coupled receptor family. Although this protein was earlier thought to be a receptor for vasoactive intestinal peptide (VIP), it is now considered to be an orphan receptor, in that its endogenous ligand has not been identified. The protein is also a coreceptor for human immunodeficiency viruses (HIV). Translocations involving this gene and HMGA2 on chromosome 12 have been observed in lipomas. |
References |
|---|
| 1,Ann Diagn Pathol. 2020 Dec;49:151621. 2,Respir Res. 2020 Oct 31;21(1):287. |
Specification |
|
|---|---|
| Aliases | RDC1; CXCR7; RDC-1; CMKOR1; CXC-R7; CXCR-7; GPR159 |
| Entrez GeneID | 57007 |
| Swissprot | P25106 |
| clone | 5E6C8 |
| WB Predicted band size | 42kDa |
| Host/Isotype | Mouse IgG1 |
| Antibody Type | Primary antibody |
| Storage | Store at 4°C short term. Aliquot and store at -20°C long term. Avoid freeze/thaw cycles. |
| Species Reactivity | Human |
| Immunogen | Purified recombinant fragment of human CXCR7(AA: extra mix) expressed in E. Coli. |
| Formulation | Purified antibody in PBS with 0.05% sodium azide |
Application |
|
|---|---|
| IHC | 1/200 - 1/1000 |
| IF | 1/50 - 1/200 |
| FCM | 1/200 - 1/400 |
| ELISA | 1/10000 |
Product Image
-
Black line: Control Antigen (100 ng);Purple line: Antigen (10ng); Blue line: Antigen (50 ng); Red line:Antigen (100 ng)

-
Immunofluorescence analysis of Hela cells using CXCR7 mouse mAb (green). Blue: DRAQ5 fluorescent DNA dye. Red: Actin filaments have been labeled with Alexa Fluor- 555 phalloidin. Secondary antibody from Fisher (Cat#: 35503)

-
Flow cytometric analysis of MCF-7 cells using CXCR7 mouse mAb (green) and negative control (red).

-
Immunohistochemical analysis of paraffin-embedded human cervical cancer tissues using CXCR7 mouse mAb with DAB staining.

-
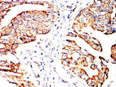
Immunohistochemical analysis of paraffin-embedded human rectum cancer tissues using CXCR7 mouse mAb with DAB staining.






鄂公网安备42018502007531号

