Mouse Monoclonal Antibody to LAMP1
货号:
32326
别名:
LAMPA; CD107a; LGP120
应用:
WB,IHC,IF,FCM
反应种属:
Human, Monkey
抗体类型:
Primary antibody
Swissprot:
P11279
规格:
目录价
在线咨询
Description |
|---|
The protein encoded by this gene is a member of a family of membrane glycoproteins. This glycoprotein provides selectins with carbohydrate ligands. It may also play a role in tumor cell metastasis. |
References |
|---|
| 1.J Cell Physiol. 2020 Mar;235(3):2776-2791. 2.Clin Lymphoma Myeloma Leuk. 2018 Nov;18(11):749-754. |
Specification |
|
|---|---|
| Aliases | LAMPA; CD107a; LGP120 |
| Entrez GeneID | 3916 |
| Swissprot | P11279 |
| clone | 1D7C1 |
| WB Predicted band size | 44.9kDa |
| Host/Isotype | Mouse IgG1 |
| Antibody Type | Primary antibody |
| Storage | Store at 4°C short term. Aliquot and store at -20°C long term. Avoid freeze/thaw cycles. |
| Species Reactivity | Human, Monkey |
| Immunogen | Purified recombinant fragment of human LAMP1 (AA: 182-414) expressed in E. Coli. |
| Formulation | Purified antibody in PBS with 0.05% sodium azide |
Application |
|
|---|---|
| WB | 1/500 - 1/2000 |
| IHC | 1/200 - 1/1000 |
| IF | 1/200 - 1/1000 |
| FCM | 1/200 - 1/400 |
| ELISA | 1/10000 |
Product Image
-
Black line: Control Antigen (100 ng);Purple line: Antigen (10ng); Blue line: Antigen (50 ng); Red line:Antigen (100 ng)

-
Western blot analysis using LAMP1 mouse mAb against Hela (1), Ecv304 (2), A431 (3) and MCF-7 (4)cell lysate.

-
Immunofluorescence analysis of Hela cells using LAMP1 mouse mAb (green). Blue: DRAQ5 fluorescent DNA dye. Red: Actin filaments have been labeled with Alexa Fluor- 555 phalloidin. Secondary antibody from Fisher (Cat#: 35503)

-
Flow cytometric analysis of Hek293 cells using LAMP1 mouse mAb (green) and negative control (red).

-
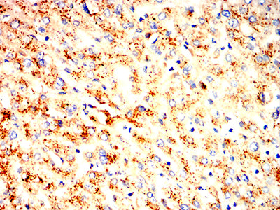
Immunohistochemical analysis of paraffin-embedded human liver tissues using LAMP1 mouse mAb with DAB staining.

-
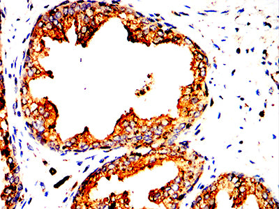
Immunohistochemical analysis of paraffin-embedded human prostatic cancer tissues using LAMP1 mouse mAb with DAB staining.







鄂公网安备42018502007531号

