Mouse Monoclonal Antibody to NDC80
货号:
32302
别名:
HEC; HEC1; TID3; KNTC2; HsHec1; hsNDC80
应用:
WB,IHC,IF,FCM
反应种属:
Human
抗体类型:
Primary antibody
Swissprot:
O14777
规格:
目录价
在线咨询
Description |
|---|
This gene encodes a component of the NDC80 kinetochore complex. The encoded protein consists of an N-terminal microtubule binding domain and a C-terminal coiled-coiled domain that interacts with other components of the complex. This protein functions to organize and stabilize microtubule-kinetochore interactions and is required for proper chromosome segregation. |
References |
|---|
| 1,Mol Biol Cell . 2020 Jul 1;31(14):1453-1473. 2,J Biol Chem . 2019 Jan 11;294(2):576-592. |
Specification |
|
|---|---|
| Aliases | HEC; HEC1; TID3; KNTC2; HsHec1; hsNDC80 |
| Entrez GeneID | 10403 |
| Swissprot | O14777 |
| clone | 1D11B8 |
| WB Predicted band size | 74KDa |
| Host/Isotype | Mouse IgG2a |
| Antibody Type | Primary antibody |
| Storage | Store at 4°C short term. Aliquot and store at -20°C long term. Avoid freeze/thaw cycles. |
| Species Reactivity | Human |
| Immunogen | Purified recombinant fragment of human NDC80 (AA: 443-642) expressed in mammalian cells. |
| Formulation | Purified antibody in PBS with 0.05% sodium azide |
Application |
|
|---|---|
| WB | 1/500 - 1/2000 |
| IHC | 1/200 - 1/1000 |
| IF | 1/200 - 1/1000 |
| FCM | 1/200 - 1/400 |
| ELISA | 1/10000 |
Product Image
-
Black line: Control Antigen (100 ng);Purple line: Antigen (10ng); Blue line: Antigen (50 ng); Red line:Antigen (100 ng)

-
Western blot analysis using NDC80 mouse mAb against Hela (1), HepG2 (2), Jurkat (3)and K562 (4) cell lysate.

-
Immunofluorescence analysis of Hela cells using NDC80 mouse mAb (green). Blue: DRAQ5 fluorescent DNA dye. Red: Actin filaments have been labeled with Alexa Fluor- 555 phalloidin. Secondary antibody from Fisher (Cat#: 35503)

-
Flow cytometric analysis of Hela cells using NDC80 mouse mAb (green) and negative control (red).

-
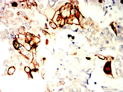
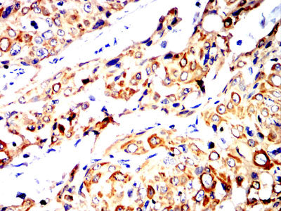
Immunohistochemical analysis of paraffin-embedded human mammary cancer tissues using NDC80 mouse mAb with DAB staining.

-
Immunohistochemical analysis of paraffin-embedded human esophageal cancer tissues using NDC80 mouse mAb with DAB staining.







鄂公网安备42018502007531号

