Mouse Monoclonal Antibody to CD180
货号:
32318
别名:
LY64; Ly78; RP105
应用:
IHC,IF,FCM
反应种属:
Human
抗体类型:
Primary antibody
Swissprot:
Q99467
规格:
目录价
在线咨询
Description |
|---|
CD180 is a cell surface molecule consisting of extracellular leucine-rich repeats (LRR) and a short cytoplasmic tail. The extracellular LRR is associated with a molecule called MD-1 and form the cell surface receptor complex, RP105/MD-1. It belongs to the family of pathogen receptors, Toll-like receptors (TLR). RP105/MD1, by working in concert with TLR4, controls B cell recognition and signaling of lipopolysaccharide (LPS), a membrane constituent of Gram-negative bacteria. |
References |
|---|
| 1.Emerg Microbes Infect. 2018 Mar 7;7(1):19. 2.Reproduction. 2017 Dec;154(6):735-744. |
Specification |
|
|---|---|
| Aliases | LY64; Ly78; RP105 |
| Entrez GeneID | 4064 |
| Swissprot | Q99467 |
| clone | 1B3C4 |
| WB Predicted band size | 74.2kDa |
| Host/Isotype | Mouse IgG1 |
| Antibody Type | Primary antibody |
| Storage | Store at 4°C short term. Aliquot and store at -20°C long term. Avoid freeze/thaw cycles. |
| Species Reactivity | Human |
| Immunogen | Purified recombinant fragment of human CD180 (AA: extra 24-185) expressed in E. Coli. |
| Formulation | Purified antibody in PBS with 0.05% sodium azide |
Application |
|
|---|---|
| IHC | 1/200 - 1/1000 |
| IF | 1/200 - 1/1000 |
| FCM | 1/200 - 1/400 |
| ELISA | 1/10000 |
Product Image
-
Black line: Control Antigen (100 ng);Purple line: Antigen (10ng); Blue line: Antigen (50 ng); Red line:Antigen (100 ng)

-
Immunofluorescence analysis of Hela cells using CD180 mouse mAb (green). Blue: DRAQ5 fluorescent DNA dye. Red: Actin filaments have been labeled with Alexa Fluor- 555 phalloidin. Secondary antibody from Fisher (Cat#: 35503)

-
Flow cytometric analysis of THP-1 cells using CD180 mouse mAb (green) and negative control (red).

-
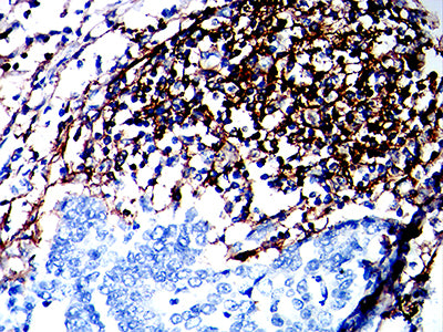
Immunohistochemical analysis of paraffin-embedded human Esophageal cancer tissues using CD180 mouse mAb with DAB staining.

-
Immunohistochemical analysis of paraffin-embedded human gastric cancer tissues using CD180 mouse mAb with DAB staining.






鄂公网安备42018502007531号

