Mouse Monoclonal Antibody to GMNN
货号:
32304
别名:
Gem; MGORS6
应用:
IHC,IF,FCM
反应种属:
Human
抗体类型:
Primary antibody
Swissprot:
O75496
规格:
目录价
在线咨询
Description |
|---|
This gene encodes a protein that plays a critical role in cell cycle regulation. The encoded protein inhibits DNA replication by binding to DNA replication factor Cdt1, preventing the incorporation of minichromosome maintenance proteins into the pre-replication complex. The encoded protein is expressed during the S and G2 phases of the cell cycle and is degraded by the anaphase-promoting complex during the metaphase-anaphase transition. Increased expression of this gene may play a role in several malignancies including colon, rectal and breast cancer. Alternatively spliced transcript variants have been observed for this gene, and two pseudogenes of this gene are located on the short arm of chromosome 16. |
References |
|---|
| 1,Cancer Genomics Proteomics . Nov-Dec 2019;16(6):593-601. 2,Chromosoma . 2018 Jun;127(2):151-174. |
Specification |
|
|---|---|
| Aliases | Gem; MGORS6 |
| Entrez GeneID | 51053 |
| Swissprot | O75496 |
| clone | 1H11G5 |
| WB Predicted band size | 23.6KDa |
| Host/Isotype | Mouse IgG1 |
| Antibody Type | Primary antibody |
| Storage | Store at 4°C short term. Aliquot and store at -20°C long term. Avoid freeze/thaw cycles. |
| Species Reactivity | Human |
| Immunogen | Purified recombinant fragment of human GMNN (AA: FULL 1-209) expressed in E. Coli. |
| Formulation | Purified antibody in PBS with 0.05% sodium azide |
Application |
|
|---|---|
| IHC | 1/200 - 1/1000 |
| IF | 1/200 - 1/1000 |
| FCM | 1/200 - 1/400 |
| ELISA | 1/10000 |
Product Image
-
Black line: Control Antigen (100 ng);Purple line: Antigen (10ng); Blue line: Antigen (50 ng); Red line:Antigen (100 ng)

-
Immunofluorescence analysis of Hela cells using GMNN mouse mAb (green). Blue: DRAQ5 fluorescent DNA dye. Red: Actin filaments have been labeled with Alexa Fluor- 555 phalloidin. Secondary antibody from Fisher (Cat#: 35503)

-
Flow cytometric analysis of C6 cells using GMNN mouse mAb (green) and negative control (red).

-
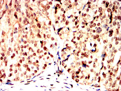
Immunohistochemical analysis of paraffin-embedded human ovarian cancer tissues using GMNN mouse mAb with DAB staining.

-
Immunohistochemical analysis of paraffin-embedded human mammary cancer tissues using GMNN mouse mAb with DAB staining.






鄂公网安备42018502007531号

