Mouse Monoclonal Antibody to DLL3
货号:
32306
别名:
SCDO1
应用:
WB,IHC,IF,FCM
反应种属:
Human, Rat
抗体类型:
Primary antibody
Swissprot:
Q9NYJ7
规格:
目录价
在线咨询
Description |
|---|
This gene encodes a member of the delta protein ligand family. This family functions as Notch ligands that are characterized by a DSL domain, EGF repeats, and a transmembrane domain. Mutations in this gene cause autosomal recessive spondylocostal dysostosis 1. Two transcript variants encoding distinct isoforms have been identified for this gene. |
References |
|---|
| 1,Cancer Sci . 2021 Aug;112(8):2984-2992. 2,Lung Cancer . 2019 Dec;138:102-108. |
Specification |
|
|---|---|
| Aliases | SCDO1 |
| Entrez GeneID | 10683 |
| Swissprot | Q9NYJ7 |
| clone | 6H4C4 |
| WB Predicted band size | 65KDa |
| Host/Isotype | Mouse IgG2a |
| Antibody Type | Primary antibody |
| Storage | Store at 4°C short term. Aliquot and store at -20°C long term. Avoid freeze/thaw cycles. |
| Species Reactivity | Human, Rat |
| Immunogen | Purified recombinant fragment of human DLL3 (AA: EXTRA(27-226)) expressed in E. Coli. |
| Formulation | Purified antibody in PBS with 0.05% sodium azide |
Application |
|
|---|---|
| WB | 1/500 - 1/2000 |
| IHC | 1/200 - 1/1000 |
| IF | 1/200 - 1/1000 |
| FCM | 1/200 - 1/400 |
| ELISA | 1/10000 |
Product Image
-
Black line: Control Antigen (100 ng);Purple line: Antigen (10ng); Blue line: Antigen (50 ng); Red line:Antigen (100 ng)

-
Western blot analysis using DLL3 mouse mAb against Hela (1)cell lysate.

-
Immunofluorescence analysis of Hela cells using DLL3 mouse mAb (green). Blue: DRAQ5 fluorescent DNA dye. Red: Actin filaments have been labeled with Alexa Fluor- 555 phalloidin. Secondary antibody from Fisher (Cat#: 35503)

-
Flow cytometric analysis of C6 cells using DLL3 mouse mAb (green) and negative control (red).

-
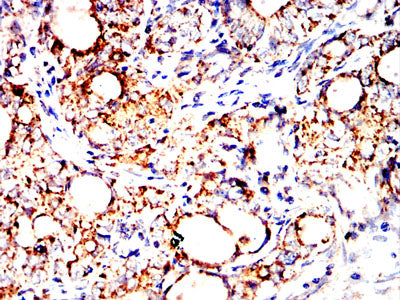
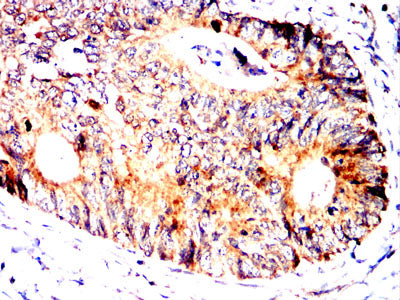
Immunohistochemical analysis of paraffin-embedded human cervical carcinoma tissues using DLL3 mouse mAb with DAB staining.

-
Immunohistochemical analysis of paraffin-embedded human rectal cancer tissues using DLL3 mouse mAb with DAB staining.







鄂公网安备42018502007531号

