Mouse Monoclonal Antibody to SOCS3
货号:
32281
别名:
CIS3; SSI3; ATOD4; Cish3; SSI-3; SOCS-3
应用:
WB,IHC,IF,FCM
反应种属:
Human
抗体类型:
Primary antibody
Swissprot:
O14543
规格:
目录价
在线咨询
Description |
|---|
This gene encodes a member of the STAT-induced STAT inhibitor (SSI), also known as suppressor of cytokine signaling (SOCS), family. SSI family members are cytokine-inducible negative regulators of cytokine signaling. The expression of this gene is induced by various cytokines, including IL6, IL10, and interferon (IFN)-gamma. The protein encoded by this gene can bind to JAK2 kinase, and inhibit the activity of JAK2 kinase. Studies of the mouse counterpart of this gene suggested the roles of this gene in the negative regulation of fetal liver hematopoiesis, and placental development. |
References |
|---|
| 1,Genet Test Mol Biomarkers. 2020 Jul;24(7):443-450. 2,Eur J Gastroenterol Hepatol. 2020 Apr;32(4):540-541. |
Specification |
|
|---|---|
| Aliases | CIS3; SSI3; ATOD4; Cish3; SSI-3; SOCS-3 |
| Entrez GeneID | 9021 |
| Swissprot | O14543 |
| clone | 3A10A12 |
| WB Predicted band size | 24.8KDa |
| Host/Isotype | Mouse IgG1 |
| Antibody Type | Primary antibody |
| Storage | Store at 4°C short term. Aliquot and store at -20°C long term. Avoid freeze/thaw cycles. |
| Species Reactivity | Human |
| Immunogen | Purified recombinant fragment of human SOCS3 (AA: full(1-225)) expressed in E. Coli. |
| Formulation | Purified antibody in PBS with 0.05% sodium azide |
Application |
|
|---|---|
| WB | 1/500 - 1/2000 |
| IHC | 1/200 - 1/1000 |
| IF | 1/200 - 1/1000 |
| FCM | 1/200 - 1/400 |
| ELISA | 1/10000 |
Product Image
-
Black line: Control Antigen (100 ng);Purple line: Antigen (10ng); Blue line: Antigen (50 ng); Red line:Antigen (100 ng)

-
Western blot analysis using SOCS3 mouse mAb against Hela cell lysate.

-
Immunofluorescence analysis of Hela cells using SOCS3 mouse mAb (green). Blue: DRAQ5 fluorescent DNA dye. Red: Actin filaments have been labeled with Alexa Fluor- 555 phalloidin. Secondary antibody from Fisher (Cat#: 35503)

-
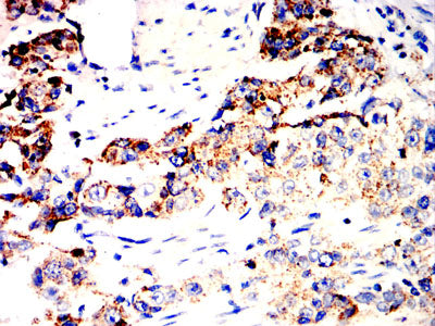
Immunohistochemical analysis of paraffin-embedded human ovarian cancer tissues using SOCS3 mouse mAb with DAB staining.

-
Immunohistochemical analysis of paraffin-embedded human esophageal cancer tissues using SOCS3 mouse mAb with DAB staining.






鄂公网安备42018502007531号

