Mouse Monoclonal Antibody to BCL6
货号:
32282
别名:
BCL5; LAZ3; BCL6A; ZNF51; ZBTB27
应用:
WB,IHC,IF,FCM
反应种属:
Human
抗体类型:
Primary antibody
Swissprot:
P41182
规格:
目录价
在线咨询
Description |
|---|
The protein encoded by this gene is a zinc finger transcription factor and contains an N-terminal POZ domain. This protein acts as a sequence-specific repressor of transcription, and has been shown to modulate the transcription of STAT-dependent IL-4 responses of B cells. This protein can interact with a variety of POZ-containing proteins that function as transcription corepressors. This gene is found to be frequently translocated and hypermutated in diffuse large-cell lymphoma (DLCL), and may be involved in the pathogenesis of DLCL. Alternatively spliced transcript variants encoding different protein isoforms have been found for this gene. |
References |
|---|
| 1.Blood. 2021 Feb 11;137(6):812-825. 2.Int J Mol Sci. 2020 Nov 9;21(21):8393. |
Specification |
|
|---|---|
| Aliases | BCL5; LAZ3; BCL6A; ZNF51; ZBTB27 |
| Entrez GeneID | 604 |
| Swissprot | P41182 |
| clone | 7A6D1 |
| WB Predicted band size | 78.8KDa |
| Host/Isotype | Mouse IgG1 |
| Antibody Type | Primary antibody |
| Storage | Store at 4°C short term. Aliquot and store at -20°C long term. Avoid freeze/thaw cycles. |
| Species Reactivity | Human |
| Immunogen | Purified recombinant fragment of human BCL6 (AA: 507-706) expressed in E. Coli. |
| Formulation | Purified antibody in PBS with 0.05% sodium azide |
Application |
|
|---|---|
| WB | 1/500 - 1/2000 |
| IHC | 1/200 - 1/1000 |
| IF | 1/200 - 1/1000 |
| FCM | 1/200 - 1/400 |
| ELISA | 1/10000 |
Product Image
-
Black line: Control Antigen (100 ng);Purple line: Antigen (10ng); Blue line: Antigen (50 ng); Red line:Antigen (100 ng)

-
Western blot analysis using BCL6 mouse mAb against Jurkat (1), K562 (2), Raji (3), Ramos (4) and MOLT-4 (5) cell lysate.

-
Immunofluorescence analysis of Hela cells using BCL6 mouse mAb (green). Blue: DRAQ5 fluorescent DNA dye. Red: Actin filaments have been labeled with Alexa Fluor- 555 phalloidin. Secondary antibody from Fisher (Cat#: 35503)

-
Flow cytometric analysis of HL-60 cells using BCL6 mouse mAb (green) and negative control (red).

-
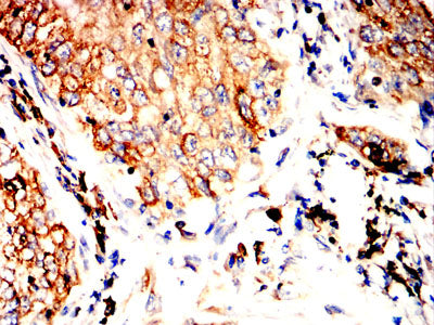
Immunohistochemical analysis of paraffin-embedded human lung cancer tissues using BCL6 mouse mAb with DAB staining.

-
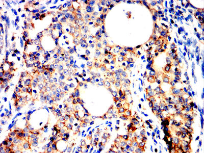
Immunohistochemical analysis of paraffin-embedded human cervical carcinoma tissues using BCL6 mouse mAb with DAB staining.







鄂公网安备42018502007531号

