Mouse Monoclonal Antibody to ACADM
货号:
32271
别名:
MCAD; ACAD1; MCADH
应用:
WB,IHC,IF,FCM
反应种属:
Human
抗体类型:
Primary antibody
Swissprot:
P11310
规格:
目录价
在线咨询
Description |
|---|
This gene encodes the medium-chain specific (C4 to C12 straight chain) acyl-Coenzyme A dehydrogenase. The homotetramer enzyme catalyzes the initial step of the mitochondrial fatty acid beta-oxidation pathway. Defects in this gene cause medium-chain acyl-CoA dehydrogenase deficiency, a disease characterized by hepatic dysfunction, fasting hypoglycemia, and encephalopathy, which can result in infantile death. Alternatively spliced transcript variants encoding different isoforms have been found for this gene. |
References |
|---|
| 1.Biochemistry. 2016 Dec 27;55(51):7086-7098. 2.Pediatr Int. 2019 Jun;61(6):551-557. |
Specification |
|
|---|---|
| Aliases | MCAD; ACAD1; MCADH |
| Entrez GeneID | 34 |
| Swissprot | P11310 |
| clone | 6F2G12 |
| WB Predicted band size | 46.6KDa |
| Host/Isotype | Mouse IgG1 |
| Antibody Type | Primary antibody |
| Storage | Store at 4°C short term. Aliquot and store at -20°C long term. Avoid freeze/thaw cycles. |
| Species Reactivity | Human |
| Immunogen | Purified recombinant fragment of human ACADM (AA: 26-185) expressed in E. Coli. |
| Formulation | Purified antibody in PBS with 0.05% sodium azide |
Application |
|
|---|---|
| WB | 1/500 - 1/2000 |
| IHC | 1/200 - 1/1000 |
| IF | 1/200 - 1/1000 |
| FCM | 1/200 - 1/400 |
| ELISA | 1/10000 |
Product Image
-
Black line: Control Antigen (100 ng);Purple line: Antigen (10ng); Blue line: Antigen (50 ng); Red line:Antigen (100 ng)

-
Western blot analysis using ACADM mouse mAb against Hela (1), HepG2 (2),Jurkat (3),Raji (4) and K562 (5) cell lysate.

-
Immunofluorescence analysis of Hela cells using ACADM mouse mAb (green). Blue: DRAQ5 fluorescent DNA dye. Red: Actin filaments have been labeled with Alexa Fluor- 555 phalloidin. Secondary antibody from Fisher (Cat#: 35503)

-
Flow cytometric analysis of HL-60 cells using ACADM mouse mAb (green) and negative control (red).

-
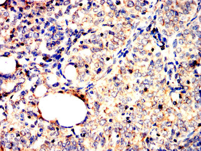
Immunohistochemical analysis of paraffin-embedded human cervical carcinoma tissues using ACADM mouse mAb with DAB staining.






鄂公网安备42018502007531号

