Mouse Monoclonal Antibody to TRBC1
货号:
32253
别名:
TCRB; TCRBC1; BV05S1J2.2
应用:
WB,IHC,IF,FCM
反应种属:
Human, Rat
抗体类型:
Primary antibody
Swissprot:
P01850
规格:
目录价
在线咨询
Description |
|---|
TRBC1 (T Cell Receptor Beta Constant 1) is a Protein Coding gene. Among its related pathways are Translocation of ZAP-70 to Immunological synapse and Innate Immune System. An important paralog of this gene is TRBC2. |
References |
|---|
| 1.Proc Natl Acad Sci U S A. 1985 Aug;82(15):5068-72. 2.Virchows Arch. 2005 Jan;446(1):15-20. |
Specification |
|
|---|---|
| Aliases | TCRB; TCRBC1; BV05S1J2.2 |
| Entrez GeneID | 28639 |
| Swissprot | P01850 |
| clone | 5D9F1 |
| WB Predicted band size | 19.7kDa |
| Host/Isotype | Mouse IgG1 |
| Antibody Type | Primary antibody |
| Storage | Store at 4°C short term. Aliquot and store at -20°C long term. Avoid freeze/thaw cycles. |
| Species Reactivity | Human, Rat |
| Immunogen | Purified recombinant fragment of human TRBC1 (AA: 1-149) expressed in E. Coli. |
| Formulation | Purified antibody in PBS with 0.05% sodium azide |
Application |
|
|---|---|
| WB | 1/500 - 1/2000 |
| IHC | 1/200 - 1/1000 |
| IF | 1/100 - 1/500 |
| FCM | 1/200 - 1/400 |
| ELISA | 1/10000 |
Product Image
-
Black line: Control Antigen (100 ng);Purple line: Antigen (10ng); Blue line: Antigen (50 ng); Red line:Antigen (100 ng)

-
Western blot analysis using TRBC1 mouse mAb against HUVEC (1), Jurkat (2), Hela (3), HUVE-12 (4), A549 (5), C6 (6), Raji (7), and T47D (8) cell lysate.

-
Immunofluorescence analysis of Hela cells using TRBC1 mouse mAb (green). Blue: DRAQ5 fluorescent DNA dye. Red: Actin filaments have been labeled with Alexa Fluor- 555 phalloidin. Secondary antibody from Fisher (Cat#: 35503)

-
Flow cytometric analysis of Jurkat cells using TRBC1 mouse mAb (green) and negative control (red).

-
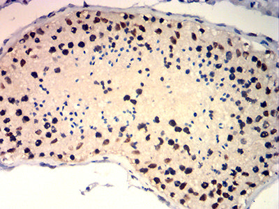
Immunohistochemical analysis of paraffin-embedded human testis tissues using TRBC1 mouse mAb with DAB staining.

-
Immunohistochemical analysis of paraffin-embedded human cerebellum tissues using TRBC1 mouse mAb with DAB staining.







鄂公网安备42018502007531号

