Mouse Monoclonal Antibody to USP7
货号:
32235
别名:
TEF1; HAUSP; HAFOUS
应用:
WB,IHC,IF,FCM
反应种属:
Human, Mouse, Rat, Monkey
抗体类型:
Primary antibody
Swissprot:
Q93009
规格:
目录价
在线咨询
Description |
|---|
The protein encoded by this gene belongs to the peptidase C19 family, which includes ubiquitinyl hydrolases. This protein deubiquitinates target proteins such as p53 (a tumor suppressor protein) and WASH (essential for endosomal protein recycling), and regulates their activities by counteracting the opposing ubiquitin ligase activity of proteins such as HDM2 and TRIM27, involved in the respective process. Mutations in this gene have been implicated in a neurodevelopmental disorder. [provided by RefSeq, Mar 2016] |
References |
|---|
| 1,Theranostics. 2020 Jul 23;10(20):9332-9347. 2,J Virol. 2020 Feb 14;94(5):e01638-19. |
Specification |
|
|---|---|
| Aliases | TEF1; HAUSP; HAFOUS |
| Entrez GeneID | 7874 |
| Swissprot | Q93009 |
| clone | 2A1C6 |
| WB Predicted band size | 128kDa |
| Host/Isotype | Mouse IgG2b |
| Antibody Type | Primary antibody |
| Storage | Store at 4°C short term. Aliquot and store at -20°C long term. Avoid freeze/thaw cycles. |
| Species Reactivity | Human, Mouse, Rat, Monkey |
| Immunogen | Purified recombinant fragment of human USP7 (AA: 1-208) expressed in E. Coli. |
| Formulation | Purified antibody in PBS with 0.05% sodium azide |
Application |
|
|---|---|
| WB | 1/500 - 1/2000 |
| IHC | 1/200 - 1/1000 |
| IF | 1/200 - 1/1000 |
| FCM | 1/200 - 1/400 |
| ELISA | 1/10000 |
Product Image
-
Black line: Control Antigen (100 ng);Purple line: Antigen (10ng); Blue line: Antigen (50 ng); Red line:Antigen (100 ng)

-
Western blot analysis using USP7 mouse mAb against Hela (1), A431 (2), MCF-7 (3),Jurkat (4),K562 (5),HepG2 (6),A549 (7),HCT116 (8),HT-29 (9),SW480 (10),C6 (11),COS-7 (12),and NIH/3T3 (13) cell lysate.

-
Immunofluorescence analysis of Hela cells using mouse USP7 mAb (green). Blue: DRAQ5 fluorescent DNA dye. Red: Actin filaments have been labeled with Alexa Fluor- 555 phalloidin. Secondary antibody from Fisher (Cat#: 35503)

-
Flow cytometric analysis of Hela cells using USP7 mouse mAb (green) and negative control (red).

-
Flow cytometric analysis of HepG2 cells using USP7 mouse mAb (green) and negative control (red).

-
Flow cytometric analysis of Jurlat cells using USP7 mouse mAb (green) and negative control (red).

-
Flow cytometric analysis of K562 cells using USP7 mouse mAb (green) and negative control (red).

-
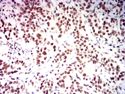
Immunohistochemical analysis of paraffin-embedded human cervical carcinoma tissues using USP7 mouse mAb with DAB staining.

-
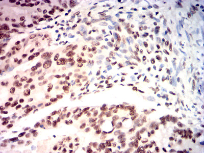
Immunohistochemical analysis of paraffin-embedded human rectal cancer tissues using USP7 mouse mAb with DAB staining.










鄂公网安备42018502007531号

