Mouse Monoclonal Antibody to ITGA1
货号:
32250
别名:
VLA1; CD49a
应用:
IHC,IF,FCM
反应种属:
Human
抗体类型:
Primary antibody
Swissprot:
P56199
规格:
目录价
在线咨询
Description |
|---|
This gene encodes the alpha 1 subunit of integrin receptors. This protein heterodimerizes with the beta 1 subunit to form a cell-surface receptor for collagen and laminin. The heterodimeric receptor is involved in cell-cell adhesion and may play a role in inflammation and fibrosis. The alpha 1 subunit contains an inserted (I) von Willebrand factor type I domain which is thought to be involved in collagen binding. [provided by RefSeq, Jul 2008] |
References |
|---|
| 1.Sci Rep.2017 Aug 30;7(1):10060. 2.Structure.2018 Aug 7;26(8):1080-1090.e5. |
Specification |
|
|---|---|
| Aliases | VLA1; CD49a |
| Entrez GeneID | 3672 |
| Swissprot | P56199 |
| clone | 2H4G10 |
| WB Predicted band size | 130.8kDa |
| Host/Isotype | Mouse IgG2a |
| Antibody Type | Primary antibody |
| Storage | Store at 4°C short term. Aliquot and store at -20°C long term. Avoid freeze/thaw cycles. |
| Species Reactivity | Human |
| Immunogen | Purified recombinant fragment of humanITGA1 (AA: extra(151-364)) expressed in E. Coli. |
| Formulation | Purified antibody in PBS with 0.05% sodium azide |
Application |
|
|---|---|
| IHC | 1/200 - 1/1000 |
| IF | 1/200 - 1/1000 |
| FCM | 1/200 - 1/400 |
| ELISA | 1/10000 |
Product Image
-
Black line: Control Antigen (100 ng);Purple line: Antigen (10ng); Blue line: Antigen (50 ng); Red line:Antigen (100 ng)

-
Immunofluorescence analysis of Hela cells using ITGA1 mouse mAb (green). Blue: DRAQ5 fluorescent DNA dye. Red: Actin filaments have been labeled with Alexa Fluor- 555 phalloidin. Secondary antibody from Fisher (Cat#: 35503)

-
Flow cytometric analysis of HepG2 cells using ITGA1 mouse mAb (green) and negative control (red).

-
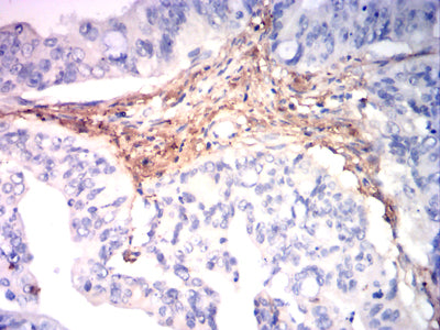
Immunohistochemical analysis of paraffin-embedded human Cervical cancer tissues using ITGA1 mouse mAb with DAB staining.

-
Immunohistochemical analysis of paraffin-embedded human rectal cancer tissues using ITGA1 mouse mAb with DAB staining.






鄂公网安备42018502007531号

