Mouse Monoclonal Antibody to TSPAN16
货号:
32251
别名:
TM-8; TM4-B; TM4SF16
应用:
WB,IHC,FCM
反应种属:
Human, Mouse, Rat, Monkey
抗体类型:
Primary antibody
Swissprot:
Q9UKR8
规格:
目录价
在线咨询
Description |
|---|
The protein encoded by this gene is a member of the transmembrane 4 superfamily, also known as the tetraspanin family. Most of these members are cell-surface proteins that are characterized by the presence of four hydrophobic domains. The proteins mediate signal transduction events that play a role in the regulation of cell development, activation, growth and motility. This encoded protein might couple to signal transduction pathways and possibly modulate cellular activation and adhesion in haemopoietic and neural tissue. Several transcript variants encoding different isoforms have been found for this gene. |
References |
|---|
| 1.J Med Genet. 2013 May;50(5):298-308. 2.Biochim Biophys Acta. 1999 Oct 6;1447(1):93-9. |
Specification |
|
|---|---|
| Aliases | TM-8; TM4-B; TM4SF16 |
| Entrez GeneID | 26526 |
| Swissprot | Q9UKR8 |
| clone | 5A2C10 |
| WB Predicted band size | 26.2kDa |
| Host/Isotype | Mouse IgG1 |
| Antibody Type | Primary antibody |
| Storage | Store at 4°C short term. Aliquot and store at -20°C long term. Avoid freeze/thaw cycles. |
| Species Reactivity | Human, Mouse, Rat, Monkey |
| Immunogen | Purified recombinant fragment of human TSPAN16 (AA: 116-245) expressed in E. Coli. |
| Formulation | Purified antibody in PBS with 0.05% sodium azide |
Application |
|
|---|---|
| WB | 1/500 - 1/2000 |
| IHC | 1/200 - 1/1000 |
| FCM | 1/200 - 1/400 |
| ELISA | 1/10000 |
Product Image
-
Black line: Control Antigen (100 ng);Purple line: Antigen (10ng); Blue line: Antigen (50 ng); Red line:Antigen (100 ng)

-
Western blot analysis using TSPAN16 mouse mAb against Raji (1), HL-60 (2), Hela (3), A549 (4), THP-1 (5), Mouse liver (6), C6 (7), COS7 (8) and Jurkat (9) cell lysate.

-
Flow cytometric analysis of U937 cells using TSPAN16 mouse mAb (green) and negative control (red).

-
Immunohistochemical analysis of paraffin-embedded human prostate cancer tissues using TSPAN16 mouse mAb with DAB staining.

-
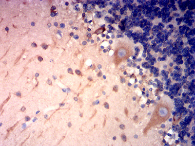
Immunohistochemical analysis of paraffin-embedded human cerebellum tissues using TSPAN16 mouse mAb with DAB staining.






鄂公网安备42018502007531号

