Mouse Monoclonal Antibody to RHOA
货号:
32237
别名:
ARHA; ARH12; RHO12; EDFAOB; RHOH12
应用:
WB,IHC,IF,FCM
反应种属:
Human
抗体类型:
Primary antibody
Swissprot:
P61586
规格:
目录价
在线咨询
Description |
|---|
This gene encodes a member of the Rho family of small GTPases, which cycle between inactive GDP-bound and active GTP-bound states and function as molecular switches in signal transduction cascades. Rho proteins promote reorganization of the actin cytoskeleton and regulate cell shape, attachment, and motility. Overexpression of this gene is associated with tumor cell proliferation and metastasis. Multiple alternatively spliced variants have been identified. [provided by RefSeq, Sep 2015] |
References |
|---|
| 1.Immunity.2020 Jul 14;53(1):187-203.e8. 2.Nat Commun.2021 Apr 13;12(1):2226. |
Specification |
|
|---|---|
| Aliases | ARHA; ARH12; RHO12; EDFAOB; RHOH12 |
| Entrez GeneID | 387 |
| Swissprot | P61586 |
| clone | 7E7H4 |
| WB Predicted band size | 22kDa |
| Host/Isotype | Mouse IgG2b |
| Antibody Type | Primary antibody |
| Storage | Store at 4°C short term. Aliquot and store at -20°C long term. Avoid freeze/thaw cycles. |
| Species Reactivity | Human |
| Immunogen | Purified recombinant fragment of human RHOA (AA: 1-190) expressed in E. Coli. |
| Formulation | Purified antibody in PBS with 0.05% sodium azide |
Application |
|
|---|---|
| WB | 1/500 - 1/2000 |
| IHC | 1/200 - 1/1000 |
| IF | 1/200 - 1/1000 |
| FCM | 1/200 - 1/400 |
| ELISA | 1/10000 |
Product Image
-
Black line: Control Antigen (100 ng);Purple line: Antigen (10ng); Blue line: Antigen (50 ng); Red line:Antigen (100 ng)

-
Western blot analysis using RHOA mouse mAb against Jurlat (1), MCF-7 (2),A431 (3), and Hela (4) cell lysate.

-
Immunofluorescence analysis of Hela cells using RHOA mouse mAb (green). Blue: DRAQ5 fluorescent DNA dye. Red: Actin filaments have been labeled with Alexa Fluor- 555 phalloidin. Secondary antibody from Fisher (Cat#: 35503)

-
Flow cytometric analysis of Hela cells using RHOA mouse mAb (green) and negative control (red).

-
Flow cytometric analysis of HepG2 cells using RHOA mouse mAb (green) and negative control (red).

-
Flow cytometric analysis of Jurkat cells using RHOA mouse mAb (green) and negative control (red).

-
Flow cytometric analysis of K562 cells using RHOA mouse mAb (green) and negative control (red).

-
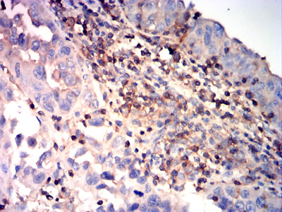
Immunohistochemical analysis of paraffin-embedded human gastric cancer tissues using RHOA mouse mAb with DAB staining.

-
Immunohistochemical analysis of paraffin-embedded human endometrial carcinoma tissues using RHOA mouse mAb with DAB staining.










鄂公网安备42018502007531号

