Mouse Monoclonal Antibody to GPR83
货号:
32243
别名:
GIR; GPR72
应用:
WB,IHC,IF,FCM
反应种属:
Human, Mouse
抗体类型:
Primary antibody
Swissprot:
Q9NYM4
规格:
目录价
在线咨询
Description |
|---|
GPR83 (G Protein-Coupled Receptor 83) is a Protein Coding gene. Diseases associated with GPR83 include Tick Infestation and Branchiootic Syndrome. Among its related pathways are Signaling by GPCR and GPCRs, Other. Gene Ontology (GO) annotations related to this gene include G protein-coupled receptor activity and neuropeptide Y receptor activity. An important paralog of this gene is PRLHR. |
References |
|---|
| 1.J Immunol.2006 Jul 1;177(1):209-15. 2.Genes Immun.2010 Jun;11(4):357-61. |
Specification |
|
|---|---|
| Aliases | GIR; GPR72 |
| Entrez GeneID | 10888 |
| Swissprot | Q9NYM4 |
| clone | 8A6D3 |
| WB Predicted band size | 48.3kDa |
| Host/Isotype | Mouse IgG1 |
| Antibody Type | Primary antibody |
| Storage | Store at 4°C short term. Aliquot and store at -20°C long term. Avoid freeze/thaw cycles. |
| Species Reactivity | Human, Mouse |
| Immunogen | Purified recombinant fragment of human GPR83 (AA: extra mix) expressed in E. Coli. |
| Formulation | Purified antibody in PBS with 0.05% sodium azide |
Application |
|
|---|---|
| WB | 1/500 - 1/2000 |
| IHC | 1/200 - 1/1000 |
| IF | 1/200 - 1/1000 |
| FCM | 1/200 - 1/400 |
| ELISA | 1/10000 |
Product Image
-
Black line: Control Antigen (100 ng);Purple line: Antigen (10ng); Blue line: Antigen (50 ng); Red line:Antigen (100 ng)

-
Western blot analysis using GPR83 mouse mAb against Mouse brain(1) cell lysate.

-
Immunofluorescence analysis of Hela cells using GPR83 mouse mAb (green). Blue: DRAQ5 fluorescent DNA dye. Red: Actin filaments have been labeled with Alexa Fluor- 555 phalloidin. Secondary antibody from Fisher (Cat#: 35503)

-
Flow cytometric analysis of HT-29 cells using GPR83 mouse mAb (green) and negative control (red).

-
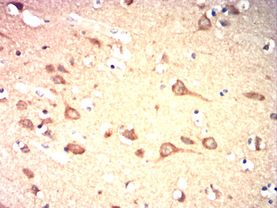
Immunohistochemical analysis of paraffin-embedded human brain tissues using GPR83 mouse mAb with DAB staining.






鄂公网安备42018502007531号

