Mouse Monoclonal Antibody to HSP70
货号:
32244
别名:
RY; APG-2; HSPH2; hsp70; hsp70RY; HEL-S-5a; HS24/P52
应用:
WB,IHC,IF,FCM
反应种属:
Human, Monkey
抗体类型:
Primary antibody
Swissprot:
P34932
规格:
目录价
在线咨询
Description |
|---|
HSPA4 (Heat Shock Protein Family A (Hsp70) Member 4) is a Protein Coding gene. Diseases associated with HSPA4 include Vulvovaginitis and Babesiosis. Among its related pathways are Cellular response to heat stress and Mechanisms of CFTR activation by S-nitrosoglutathione (normal and CF). An important paralog of this gene is HSPA4L. |
References |
|---|
| 1.J Biol Chem.2020 Jun 12;295(24):8302-8324. 2.Biol Chem.2020 Oct 25;401(11):1233-1248. |
Specification |
|
|---|---|
| Aliases | RY; APG-2; HSPH2; hsp70; hsp70RY; HEL-S-5a; HS24/P52 |
| Entrez GeneID | 3308 |
| Swissprot | P34932 |
| clone | 2E4F10B11 |
| WB Predicted band size | 94.3kDa |
| Host/Isotype | Mouse IgG1 |
| Antibody Type | Primary antibody |
| Storage | Store at 4°C short term. Aliquot and store at -20°C long term. Avoid freeze/thaw cycles. |
| Species Reactivity | Human, Monkey |
| Immunogen | Purified recombinant fragment of human HSP70 (AA: 642-841) expressed in mammalian. |
| Formulation | Purified antibody in PBS with 0.05% sodium azide |
Application |
|
|---|---|
| WB | 1/500 - 1/2000 |
| IHC | 1/200 - 1/1000 |
| IF | 1/200 - 1/1000 |
| FCM | 1/200 - 1/400 |
| ELISA | 1/10000 |
Product Image
-
Black line: Control Antigen (100 ng);Purple line: Antigen (10ng); Blue line: Antigen (50 ng); Red line:Antigen (100 ng)

-
Western blot analysis using HSP70 mouse mAb against Hela (1), HepG2 (2),Hek293 (3),COS-7 (4),A549 (5) and Jurkat (6) cell lysate.

-
Immunofluorescence analysis of Hela cells using HSP70 mouse mAb (green). Blue: DRAQ5 fluorescent DNA dye. Red: Actin filaments have been labeled with Alexa Fluor- 555 phalloidin. Secondary antibody from Fisher (Cat#: 35503)

-
Flow cytometric analysis of Jurkat cells using HSP70 mouse mAb (green) and negative control (red).

-
Flow cytometric analysis of K562 cells using HSP70 mouse mAb (green) and negative control (red).

-
Flow cytometric analysis of Raji cells using HSP70 mouse mAb (green) and negative control (red).

-
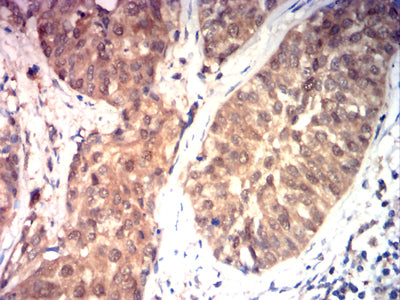
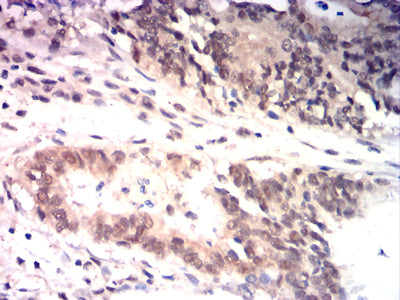
Immunohistochemical analysis of paraffin-embedded human bladder cancer tissues using HSP70 mouse mAb with DAB staining.

-
Immunohistochemical analysis of paraffin-embedded human rectal cancer tissues using HSP70 mouse mAb with DAB staining.









鄂公网安备42018502007531号

