Mouse Monoclonal Antibody to KITLG
货号:
32239
别名:
SF; MGF; SCF; SLF; DCUA; FPH2; FPHH; KL-1; Kitl; SHEP7; DFNA69
应用:
IHC,IF,FCM
反应种属:
Human
抗体类型:
Primary antibody
Swissprot:
P21583
规格:
目录价
在线咨询
Description |
|---|
This gene encodes the ligand of the tyrosine-kinase receptor encoded by the KIT locus. This ligand is a pleiotropic factor that acts in utero in germ cell and neural cell development, and hematopoiesis, all believed to reflect a role in cell migration. In adults, it functions pleiotropically, while mostly noted for its continued requirement in hematopoiesis. Two transcript variants encoding different isoforms have been found for this gene. [provided by RefSeq, Jul 2008] |
References |
|---|
| 1,Stem Cell Res Ther. 2020 Jul 31;11(1):329. 2,Thorac Cancer. 2020 Jul;11(7):1944-1954. |
Specification |
|
|---|---|
| Aliases | SF; MGF; SCF; SLF; DCUA; FPH2; FPHH; KL-1; Kitl; SHEP7; DFNA69 |
| Entrez GeneID | 4254 |
| Swissprot | P21583 |
| clone | 2E1F9G6 |
| WB Predicted band size | 30.9kDa |
| Host/Isotype | Mouse IgG2b |
| Antibody Type | Primary antibody |
| Storage | Store at 4°C short term. Aliquot and store at -20°C long term. Avoid freeze/thaw cycles. |
| Species Reactivity | Human |
| Immunogen | Purified recombinant fragment of human KITLG (AA:Extra(26-214)) expressed in Mammalian. |
| Formulation | Purified antibody in PBS with 0.05% sodium azide |
Application |
|
|---|---|
| IHC | 1/200 - 1/1000 |
| IF | 1/200 - 1/1000 |
| FCM | 1/200 - 1/400 |
| ELISA | 1/10000 |
Product Image
-
Black line: Control Antigen (100 ng);Purple line: Antigen (10ng); Blue line: Antigen (50 ng); Red line:Antigen (100 ng)

-
Immunofluorescence analysis of Hela cells using KITLG mouse mAb (green). Blue: DRAQ5 fluorescent DNA dye. Red: Actin filaments have been labeled with Alexa Fluor- 555 phalloidin. Secondary antibody from Fisher (Cat#: 35503)

-
Flow cytometric analysis of Hela cells using KITLG mouse mAb (green) and negative control (red).

-
Flow cytometric analysis of Jurkat cells using KITLG mouse mAb (green) and negative control (red).

-
Flow cytometric analysis of Raji cells using KITLG mouse mAb (green) and negative control (red).

-
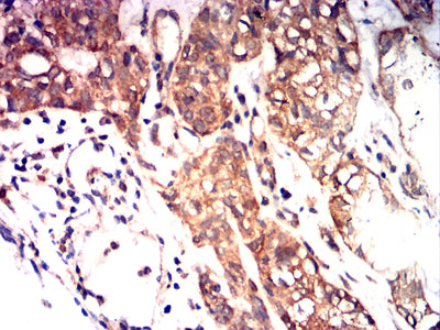
Immunohistochemical analysis of paraffin-embedded human Bladder cancer tissues using KITLG mouse mAb with DAB staining.







鄂公网安备42018502007531号

