Mouse Monoclonal Antibody to ETFA
货号:
32245
别名:
EMA; GA2; MADD
应用:
WB,IHC,IF,FCM
反应种属:
Human
抗体类型:
Primary antibody
Swissprot:
P13804
规格:
目录价
在线咨询
Description |
|---|
ETFA participates in catalyzing the initial step of the mitochondrial fatty acid beta-oxidation. It shuttles electrons between primary flavoprotein dehydrogenases and the membrane-bound electron transfer flavoprotein ubiquinone oxidoreductase. Defects in electron-transfer-flavoprotein have been implicated in type II glutaricaciduria in which multiple acyl-CoA dehydrogenase deficiencies result in large excretion of glutaric, lactic, ethylmalonic, butyric, isobutyric, 2-methyl-butyric, and isovaleric acids. Two transcript variants encoding different isoforms have been found for this gene. [provided by RefSeq, Jul 2008] |
References |
|---|
| 1.Toxicology.2014 Feb 28;316:61-70. 2.BMC Med Genomics.2020 Jan 29;13(1):12. |
Specification |
|
|---|---|
| Aliases | EMA; GA2; MADD |
| Entrez GeneID | 2108 |
| Swissprot | P13804 |
| clone | 2F8A5 |
| WB Predicted band size | 35kDa |
| Host/Isotype | Mouse IgG2a |
| Antibody Type | Primary antibody |
| Storage | Store at 4°C short term. Aliquot and store at -20°C long term. Avoid freeze/thaw cycles. |
| Species Reactivity | Human |
| Immunogen | Purified recombinant fragment of human ETFA (AA: 134-333) expressed in E. Coli. |
| Formulation | Purified antibody in PBS with 0.05% sodium azide |
Application |
|
|---|---|
| WB | 1/500 - 1/2000 |
| IHC | 1/200 - 1/1000 |
| IF | 1/200 - 1/1000 |
| FCM | 1/200 - 1/400 |
| ELISA | 1/10000 |
Product Image
-
Black line: Control Antigen (100 ng);Purple line: Antigen (10ng); Blue line: Antigen (50 ng); Red line:Antigen (100 ng)

-
Western blot analysis using ETFA mouse mAb against .HepG2 (1), A431 (2), Hek293 (3),Hela (4)and MCF-7 (5) cell lysate.

-
Immunofluorescence analysis of Hela cells using ETFA mouse mAb (green). Blue: DRAQ5 fluorescent DNA dye. Red: Actin filaments have been labeled with Alexa Fluor- 555 phalloidin. Secondary antibody from Fisher (Cat#: 35503)

-
Flow cytometric analysis of Hela cells using ETFA mouse mAb (green) and negative control (red).

-
Flow cytometric analysis of HepG2 cells using ETFA mouse mAb (green) and negative control (red).

-
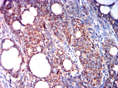
Immunohistochemical analysis of paraffin-embedded human cervical carcinoma tissues using ETFA mouse mAb with DAB staining.

-
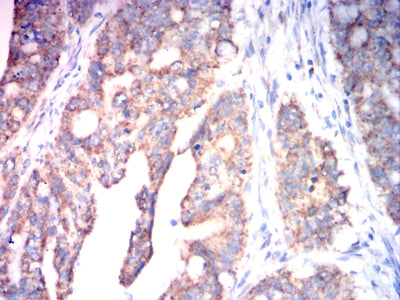
Immunohistochemical analysis of paraffin-embedded human rectal cancer tissues using ETFA mouse mAb with DAB staining.








鄂公网安备42018502007531号

