Mouse Monoclonal Antibody to B4GALNT1
货号:
32224
别名:
GALGT; SPG26; GALNACT; GalNAc-T
应用:
WB,IHC,FCM
反应种属:
Human, Mouse, Monkey
抗体类型:
Primary antibody
Swissprot:
Q00973
规格:
目录价
在线咨询
Description |
|---|
GM2 and GD2 gangliosides are sialic acid-containing glycosphingolipids. GalNAc-T is the enzyme involved in the biosynthesis of G(M2) and G(D2) glycosphingolipids. GalNAc-T catalyzes the transfer of GalNAc into G(M3) and G(D3) by a beta-1,4 linkage, resulting in the synthesis of G(M2) and G(D2), respectively. Three transcript variants encoding different isoforms have been found for this gene. |
References |
|---|
| 1,Exp Mol Pathol. 2019 Aug;109:25-35. 2,Sci Rep. 2020 Jan 27;10(1):1199. |
Specification |
|
|---|---|
| Aliases | GALGT; SPG26; GALNACT; GalNAc-T |
| Entrez GeneID | 2583 |
| Swissprot | Q00973 |
| clone | 4G11B1 |
| WB Predicted band size | 58.9kDa |
| Host/Isotype | Mouse IgG1 |
| Antibody Type | Primary antibody |
| Storage | Store at 4°C short term. Aliquot and store at -20°C long term. Avoid freeze/thaw cycles. |
| Species Reactivity | Human, Mouse, Monkey |
| Immunogen | Purified recombinant fragment of human B4GALNT1 (AA: 26-225) expressed in E. Coli. |
| Formulation | Purified antibody in PBS with 0.05% sodium azide |
Application |
|
|---|---|
| WB | 1/500 - 1/2000 |
| IHC | 1/200 - 1/1000 |
| FCM | 1/200 - 1/400 |
| ELISA | 1/10000 |
Product Image
-
Black line: Control Antigen (100 ng);Purple line: Antigen (10ng); Blue line: Antigen (50 ng); Red line:Antigen (100 ng)

-
Western blot analysis using B4GALNT1 mouse mAb against Hela (1), Jurkat (2), HepG2 (3), k562 (4), COS-7 (5), and NIH/3T3 (6) cell lysate.

-
Flow cytometric analysis of Hela cells using B4GALNT1 mouse mAb (green) and negative control (red).

-
Immunohistochemical analysis of paraffin-embedded human brain tissues using B4GALNT1 mouse mAb with DAB staining.

-
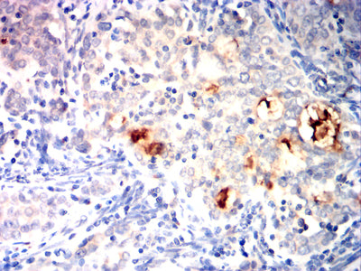
Immunohistochemical analysis of paraffin-embedded human cervical cancer tissues using B4GALNT1 mouse mAb with DAB staining.






鄂公网安备42018502007531号

