Mouse Monoclonal Antibody to HSP70
货号:
32227
别名:
RY; APG-2; HSPH2; HSPA4 ; hsp70RY; HEL-S-5a; HS24/P52
应用:
WB,IHC,FCM
反应种属:
Human, Mouse, Rat, Monkey
抗体类型:
Primary antibody
Swissprot:
P34932
规格:
目录价
在线咨询
References |
|---|
| 1,J Biol Chem. 2020 Jun 12;295(24):8302-8324. 2,Mol Biol (Mosk). Jan-Feb 2020;54(1):128-136. |
Specification |
|
|---|---|
| Aliases | RY; APG-2; HSPH2; HSPA4 ; hsp70RY; HEL-S-5a; HS24/P52 |
| Entrez GeneID | 3308 |
| Swissprot | P34932 |
| clone | 6H4A5C5 |
| WB Predicted band size | 94.3kDa |
| Host/Isotype | Mouse IgG2b |
| Antibody Type | Primary antibody |
| Storage | Store at 4°C short term. Aliquot and store at -20°C long term. Avoid freeze/thaw cycles. |
| Species Reactivity | Human, Mouse, Rat, Monkey |
| Immunogen | Purified recombinant fragment of human HSP70 (AA: 642-841) expressed in Mammalian |
| Formulation | Purified antibody in PBS with 0.05% sodium azide |
Application |
|
|---|---|
| WB | 1/500 - 1/2000 |
| IHC | 1/200 - 1/1000 |
| FCM | 1/200 - 1/400 |
| ELISA | 1/10000 |
Product Image
-
Black line: Control Antigen (100 ng);Purple line: Antigen (10ng); Blue line: Antigen (50 ng); Red line:Antigen (100 ng)

-
Western blot analysis using HSP70 mouse mAb against Hela (1), HepG2 (2), Hek293 (3), PC-12 (4), A549 (5), Jurkat (6), COS-7 (7), and NIH/3T3 (8) cell lysate.

-
Flow cytometric analysis of Hela cells using HSP70 mouse mAb (green) and negative control (red).

-
Flow cytometric analysis of Jurkat cells using HSP70 mouse mAb (green) and negative control (red).

-
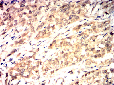
Immunohistochemical analysis of paraffin-embedded human bladder Cancer tissues using HSP70 mouse mAb with DAB staining.

-
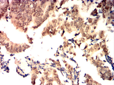
Immunohistochemical analysis of paraffin-embedded human rectal cancer tissues using HSP70 mouse mAb with DAB staining.







鄂公网安备42018502007531号

