Mouse Monoclonal Antibody to KMT2A
Description |
|---|
This gene encodes a transcriptional coactivator that plays an essential role in regulating gene expression during early development and hematopoiesis. The encoded protein contains multiple conserved functional domains. One of these domains, the SET domain, is responsible for its histone H3 lysine 4 (H3K4) methyltransferase activity which mediates chromatin modifications associated with epigenetic transcriptional activation. This protein is processed by the enzyme Taspase 1 into two fragments, MLL-C and MLL-N. These fragments reassociate and further assemble into different multiprotein complexes that regulate the transcription of specific target genes, including many of the HOX genes. Multiple chromosomal translocations involving this gene are the cause of certain acute lymphoid leukemias and acute myeloid leukemias. Alternate splicing results in multiple transcript variants. |
References |
|---|
| 1,Proc Natl Acad Sci U S A. 2020 Oct 20;117(42):26340-26346. 2,Nat Commun. 2020 Dec 21;11(1):6422. |
Specification |
|
|---|---|
| Aliases | HRX; MLL; MLL1; TRX1; ALL-1; CXXC7; HTRX1; MLL1A; WDSTS |
| Entrez GeneID | 4297 |
| Swissprot | Q03164 |
| clone | 7E1D10 |
| WB Predicted band size | 431kDa |
| Host/Isotype | Mouse IgG1 |
| Antibody Type | Primary antibody |
| Storage | Store at 4°C short term. Aliquot and store at -20°C long term. Avoid freeze/thaw cycles. |
| Species Reactivity | Human |
| Immunogen | Purified recombinant fragment of human KMT2A (AA:150-400) expressed in E. Coli. |
| Formulation | Purified antibody in PBS with 0.05% sodium azide |
Application |
|
|---|---|
| IHC | 1/200 - 1/1000 |
| IF | 1/200 - 1/1000 |
| FCM | 1/200 - 1/400 |
| ELISA | 1/10000 |
Product Image
-
Black line: Control Antigen (100 ng);Purple line: Antigen (10ng); Blue line: Antigen (50 ng); Red line:Antigen (100 ng)

-
Immunofluorescence analysis of Hela cells using KMT2A mouse mAb (green). Blue: DRAQ5 fluorescent DNA dye. Red: Actin filaments have been labeled with Alexa Fluor- 555 phalloidin. Secondary antibody from Fisher (Cat#: 35503)

-
Flow cytometric analysis of Hela cells using KMT2A mouse mAb (green) and negative control (red).

-
Flow cytometric analysis of Raji cells using KMT2A mouse mAb (green) and negative control (red).

-
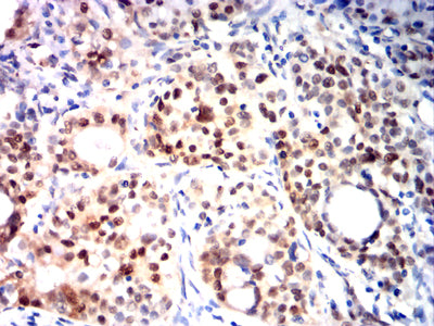
Immunohistochemical analysis of paraffin-embedded human cervical cancer tissues using KMT2A mouse mAb with DAB staining.

-
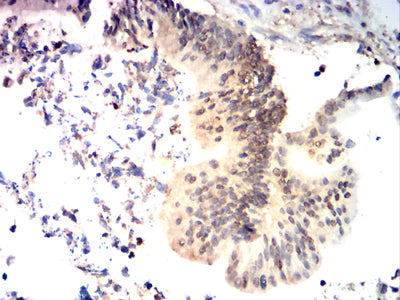
Immunohistochemical analysis of paraffin-embedded human colon cancer tissues using KMT2A mouse mAb with DAB staining.

-
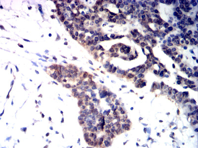
Immunohistochemical analysis of paraffin-embedded human ovarian cancer tissues using KMT2A mouse mAb with DAB staining.

-
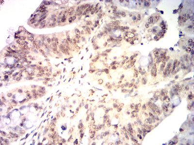
Immunohistochemical analysis of paraffin-embedded human rectal cancer tissues using KMT2A mouse mAb with DAB staining.









鄂公网安备42018502007531号

