Mouse Monoclonal Antibody to VASP
Description |
|---|
Vasodilator-stimulated phosphoprotein (VASP) is a member of the Ena-VASP protein family. Ena-VASP family members contain an EHV1 N-terminal domain that binds proteins containing E/DFPPPPXD/E motifs and targets Ena-VASP proteins to focal adhesions. In the mid-region of the protein, family members have a proline-rich domain that binds SH3 and WW domain-containing proteins. Their C-terminal EVH2 domain mediates tetramerization and binds both G and F actin. VASP is associated with filamentous actin formation and likely plays a widespread role in cell adhesion and motility. VASP may also be involved in the intracellular signaling pathways that regulate integrin-extracellular matrix interactions. VASP is regulated by the cyclic nucleotide-dependent kinases PKA and PKG. [provided by RefSeq, Jul 2008] |
References |
|---|
| 1,Proc Natl Acad Sci U S A. 2020 Nov 24;117(47):29684-29690. 2,PLoS Pathog. 2020 Sep 30;16(9):e1008879. |
Specification |
|
|---|---|
| Entrez GeneID | 7408 |
| Swissprot | P50552 |
| clone | 6B10A1 |
| WB Predicted band size | 39.8kDa |
| Host/Isotype | Mouse IgG1 |
| Antibody Type | Primary antibody |
| Storage | Store at 4°C short term. Aliquot and store at -20°C long term. Avoid freeze/thaw cycles. |
| Species Reactivity | Human, Monkey |
| Immunogen | Purified recombinant fragment of human VASP (AA: 1-380) expressed in E. Coli. |
| Formulation | Purified antibody in PBS with 0.05% sodium azide |
Application |
|
|---|---|
| WB | 1/500 - 1/2000 |
| IHC | 1/200 - 1/1000 |
| IF | 1/200 - 1/1000 |
| FCM | 1/200 - 1/400 |
| ELISA | 1/10000 |
Product Image
-
Black line: Control Antigen (100 ng);Purple line: Antigen (10ng); Blue line: Antigen (50 ng); Red line:Antigen (100 ng)

-
Western blot analysis using VASP mouse mAb against THP-1 (1), HepG2 (2), Hela (3), HT-29 (4), MCF-7 (5), A549 (6), and COS-7 (7) cell lysate.

-
Immunofluorescence analysis of Hela cells using VASP mouse mAb (green). Blue: DRAQ5 fluorescent DNA dye. Red: Actin filaments have been labeled with Alexa Fluor- 555 phalloidin. Secondary antibody from Fisher (Cat#: 35503)

-
Flow cytometric analysis of MOLT4 cells using VASP mouse mAb (green) and negative control (red).

-
Flow cytometric analysis of THP-1 cells using VASP mouse mAb (green) and negative control (red).

-
Flow cytometric analysis of HL-60 cells using VASP mouse mAb (green) and negative control (red).

-
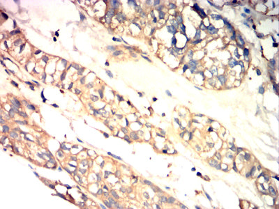
Immunohistochemical analysis of paraffin-embedded human bladder cancer tissues using VASP mouse mAb with DAB staining.

-
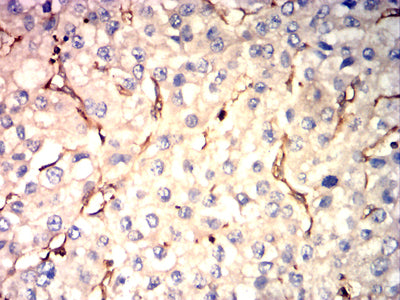
Immunohistochemical analysis of paraffin-embedded human liver cancer tissues using VASP mouse mAb with DAB staining.

-
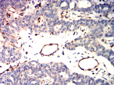
Immunohistochemical analysis of paraffin-embedded human ovarian cancer tissues using VASP mouse mAb with DAB staining.










鄂公网安备42018502007531号

