Mouse Monoclonal Antibody to HSP70
货号:
32197
别名:
RY; APG-2; HSPH2; HSPA4; hsp70RY; HEL-S-5a; HS24/P52
应用:
WB,IHC,FCM
反应种属:
Human, Monkey
抗体类型:
Primary antibody
Swissprot:
P34932
规格:
目录价
在线咨询
Description |
|---|
HSPA4 (Heat Shock Protein Family A (Hsp70) Member 4) is a Protein Coding gene. Diseases associated with HSPA4 include Vulvovaginitis and Babesiosis. Among its related pathways are Regulation of degradation of deltaF508 CFTR in CF and Chks in Checkpoint Regulation. An important paralog of this gene is HSPA4L. |
References |
|---|
| 1,Mol Biol (Mosk). Jan-Feb 2020;54(1):128-136. 2,J Biol Chem. 2020 Jun 12;295(24):8302-8324. |
Specification |
|
|---|---|
| Aliases | RY; APG-2; HSPH2; HSPA4; hsp70RY; HEL-S-5a; HS24/P52 |
| Entrez GeneID | 3308 |
| Swissprot | P34932 |
| clone | 2E4F10 |
| WB Predicted band size | 94.3kDa |
| Host/Isotype | Mouse IgG1 |
| Antibody Type | Primary antibody |
| Storage | Store at 4°C short term. Aliquot and store at -20°C long term. Avoid freeze/thaw cycles. |
| Species Reactivity | Human, Monkey |
| Immunogen | Purified recombinant fragment of human HSP70 (AA: 642-841) expressed in Mammalian. |
| Formulation | Purified antibody in PBS with 0.05% sodium azide |
Application |
|
|---|---|
| WB | 1/500 - 1/2000 |
| IHC | 1/200 - 1/1000 |
| FCM | 1/200 - 1/400 |
| ELISA | 1/10000 |
Product Image
-
Black line: Control Antigen (100 ng);Purple line: Antigen (10ng); Blue line: Antigen (50 ng); Red line:Antigen (100 ng)

-
Western blot analysis using HSP70 mouse mAb against NIH/3T3 (1), Hela (2), HepG2 (3), Hek293 (4), COS-7 (5), A549 (6), and Jurkat (7) cell lysate.

-
Flow cytometric analysis of Hela cells using HSP70 mouse mAb (green) and negative control (red).

-
Flow cytometric analysis of Jurkat cells using HSP70 mouse mAb (green) and negative control (red).

-
Flow cytometric analysis of Raji cells using HSP70 mouse mAb (green) and negative control (red).

-
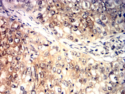
Immunohistochemical analysis of paraffin-embedded human breast cancer tissues using HSP70 mouse mAb with DAB staining.

-
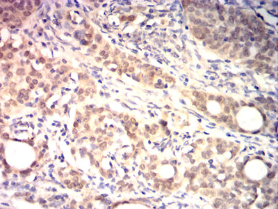
Immunohistochemical analysis of paraffin-embedded human cervical cancer tissues using HSP70 mouse mAb with DAB staining.

-
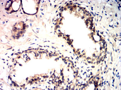
Immunohistochemical analysis of paraffin-embedded human prostate cancer tissues using HSP70 mouse mAb with DAB staining.

-
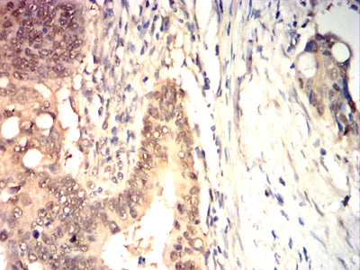
Immunohistochemical analysis of paraffin-embedded human rectal cancer tissues using HSP70 mouse mAb with DAB staining.










鄂公网安备42018502007531号

