Mouse Monoclonal Antibody to XRCC1
货号:
32198
别名:
RCC; SCAR26
应用:
WB,IHC,FCM
反应种属:
Human
抗体类型:
Primary antibody
Swissprot:
P18887
规格:
目录价
在线咨询
Description |
|---|
The protein encoded by this gene is involved in the efficient repair of DNA single-strand breaks formed by exposure to ionizing radiation and alkylating agents. This protein interacts with DNA ligase III, polymerase beta and poly (ADP-ribose) polymerase to participate in the base excision repair pathway. It may play a role in DNA processing during meiogenesis and recombination in germ cells. A rare microsatellite polymorphism in this gene is associated with cancer in patients of varying radiosensitivity. |
References |
|---|
| 1,DNA Repair (Amst). 2020 Sep;93:102917. 2,Zhonghua Yi Xue Za Zhi. 2021 Mar 23;101(11):759-765. |
Specification |
|
|---|---|
| Aliases | RCC; SCAR26 |
| Entrez GeneID | 7515 |
| Swissprot | P18887 |
| clone | 4D10D3 |
| WB Predicted band size | 69.5kDa |
| Host/Isotype | Mouse IgG1 |
| Antibody Type | Primary antibody |
| Storage | Store at 4°C short term. Aliquot and store at -20°C long term. Avoid freeze/thaw cycles. |
| Species Reactivity | Human |
| Immunogen | Purified recombinant fragment of human XRCC1 (AA: 1-150) expressed in E. Coli. |
| Formulation | Purified antibody in PBS with 0.05% sodium azide |
Application |
|
|---|---|
| WB | 1/500 - 1/2000 |
| IHC | 1/200 - 1/1000 |
| FCM | 1/200 - 1/400 |
| ELISA | 1/10000 |
Product Image
-
Black line: Control Antigen (100 ng);Purple line: Antigen (10ng); Blue line: Antigen (50 ng); Red line:Antigen (100 ng)

-
Flow cytometric analysis of A375 cells using XRCC1 mouse mAb (green) and negative control (red).

-
Flow cytometric analysis of Jurkat cells using XRCC1 mouse mAb (green) and negative control (red).

-
Flow cytometric analysis of K562 cells using XRCC1 mouse mAb (green) and negative control (red).

-
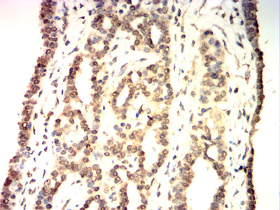
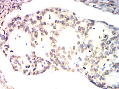
Immunohistochemical analysis of paraffin-embedded human cervical cancer tissues using XRCC1 mouse mAb with DAB staining.

-
Immunohistochemical analysis of paraffin-embedded human ovarian cancer tissues using XRCC1 mouse mAb with DAB staining.

-
Immunohistochemical analysis of paraffin-embedded human rectal cancer tissues using XRCC1 mouse mAb with DAB staining.








鄂公网安备42018502007531号

