Mouse Monoclonal Antibody to GOLGA2
货号:
32171
别名:
GM130
应用:
WB,IHC,IF,FCM
反应种属:
Human
抗体类型:
Primary antibody
Swissprot:
Q08379
规格:
目录价
在线咨询
Description |
|---|
The Golgi apparatus, which participates in glycosylation and transport of proteins and lipids in the secretory pathway, consists of a series of stacked cisternae (flattened membrane sacs). Interactions between the Golgi and microtubules are thought to be important for the reorganization of the Golgi after it fragments during mitosis. This gene encodes one of the golgins, a family of proteins localized to the Golgi. This encoded protein has been postulated to play roles in the stacking of Golgi cisternae and in vesicular transport. Several alternatively spliced transcript variants of this gene have been described, but the full-length nature of these variants has not been determined. |
References |
|---|
| 1.Sci Rep. 2015 Aug 28;5:13324. 2.Cell Cycle. 2015;14(8):1139-47. |
Specification |
|
|---|---|
| Aliases | GM130 |
| Entrez GeneID | 2801 |
| Swissprot | Q08379 |
| clone | 2D5D11 |
| WB Predicted band size | 113kDa |
| Host/Isotype | Mouse IgG1 |
| Antibody Type | Primary antibody |
| Storage | Store at 4°C short term. Aliquot and store at -20°C long term. Avoid freeze/thaw cycles. |
| Species Reactivity | Human |
| Immunogen | Purified recombinant fragment of human GOLGA2 (AA: 1-205) expressed in HEK293-6e cells supernatant. |
| Formulation | Purified antibody in PBS with 0.05% sodium azide |
Application |
|
|---|---|
| WB | 1/500 - 1/2000 |
| IHC | 1/200 - 1/1000 |
| IF | 1/50 - 1/200 |
| FCM | 1/200 - 1/400 |
| ELISA | 1/10000 |
Product Image
-
Black line: Control Antigen (100 ng);Purple line: Antigen (10ng); Blue line: Antigen (50 ng); Red line:Antigen (100 ng)

-
Western blot analysis using GOLGA2 mouse mAb against Jurkat (1) cell lysate.

-
Immunofluorescence analysis of Hela cells using GOLGA2 mouse mAb (green). Blue: DRAQ5 fluorescent DNA dye. Red: Actin filaments have been labeled with Alexa Fluor- 555 phalloidin. Secondary antibody from Fisher (Cat#: 35503)

-
Flow cytometric analysis of Hela cells using GOLGA2 mouse mAb (green) and negative control (red).

-
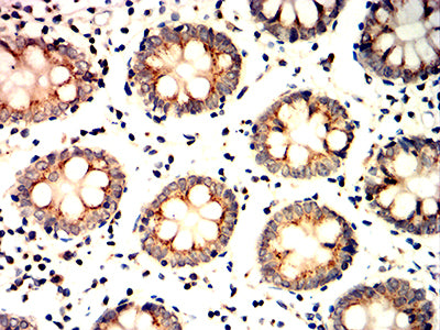
Immunohistochemical analysis of paraffin-embedded human colon tissues using GOLGA2 mouse mAb with DAB staining.

-
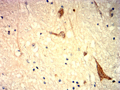
Immunohistochemical analysis of paraffin-embedded human brain tissues using GOLGA2 mouse mAb with DAB staining.







鄂公网安备42018502007531号

