Mouse Monoclonal Antibody to TUBB1
货号:
32176
别名:
M40; TUBB1; TUBB5; CDCBM6; CSCSC1; OK/SW-cl.56
应用:
WB,IHC,IF,FCM
反应种属:
Human, Mouse, Monkey
抗体类型:
Loading Control Antibody
Swissprot:
P07437
规格:
目录价
在线咨询
Description |
|---|
This gene encodes a member of the beta tubulin protein family. Beta tubulins are one of two core protein families (alpha and beta tubulins) that heterodimerize and assemble to form microtubules. This protein is specifically expressed in platelets and megakaryocytes and may be involved in proplatelet production and platelet release. A mutations in this gene is associated with autosomal dominant macrothrombocytopenia. Two pseudogenes of this gene are found on chromosome Y. |
References |
|---|
| 1,Int J Mol Sci. 2020 Feb 18;21(4):1385. 2,Biochem Biophys Res Commun. 2016 Aug 5;476(4):273-279. |
Specification |
|
|---|---|
| Aliases | M40; TUBB1; TUBB5; CDCBM6; CSCSC1; OK/SW-cl.56 |
| Entrez GeneID | 203068 |
| Swissprot | P07437 |
| clone | 4D4G6 |
| WB Predicted band size | 50.3kDa |
| Host/Isotype | Mouse IgG1 |
| Antibody Type | Loading Control Antibody |
| Storage | Store at 4°C short term. Aliquot and store at -20°C long term. Avoid freeze/thaw cycles. |
| Species Reactivity | Human, Mouse, Monkey |
| Immunogen | Purified recombinant fragment of human TUBB1 (AA: 1-444) expressed in E. Coli. |
| Formulation | Purified antibody in PBS with 0.05% sodium azide |
Application |
|
|---|---|
| WB | 1/1000 - 1/2000 |
| IHC | 1/200 - 1/1000 |
| IF | 1/200 - 1/1000 |
| FCM | 1/200 - 1/400 |
| ELISA | 1/10000 |
Product Image
-
Black line: Control Antigen (100 ng);Purple line: Antigen (10ng); Blue line: Antigen (50 ng); Red line:Antigen (100 ng)

-
Western blot analysis using TUBB1 mouse mAb against K562 (1), HepG2 (2), A431 (3), Jurkat (4), Hela (5), NIH/3T3 (6), and COS-7 (7) cell lysate.

-
Immunofluorescence analysis of Hela cells using TUBB1 mouse mAb (green). Blue: DRAQ5 fluorescent DNA dye. Red: Actin filaments have been labeled with Alexa Fluor- 555 phalloidin. Secondary antibody from Fisher (Cat#: 35503)

-
Flow cytometric analysis of Hela cells using TUBB1 mouse mAb (green) and negative control (red).

-
Flow cytometric analysis of HepG2 cells using TUBB1 mouse mAb (green) and negative control (red).

-
Flow cytometric analysis of HL-60 cells using TUBB1 mouse mAb (green) and negative control (red).

-
Flow cytometric analysis of Jurkat cells using TUBB1 mouse mAb (green) and negative control (red).

-
Flow cytometric analysis of THP-1 cells using TUBB1 mouse mAb (green) and negative control (red).

-
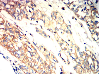
Immunohistochemical analysis of paraffin-embedded human bladder cancer tissues using TUBB1 mouse mAb with DAB staining.

-
Immunohistochemical analysis of paraffin-embedded human lung cancer tissues using TUBB1 mouse mAb with DAB staining.

-
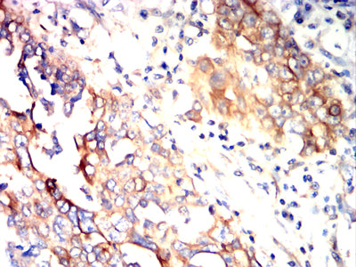
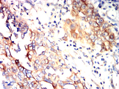
Immunohistochemical analysis of paraffin-embedded human ovarian cancer tissues using TUBB1 mouse mAb with DAB staining.












鄂公网安备42018502007531号

