Mouse Monoclonal Antibody to SCARB1
货号:
32153
别名:
CLA1; SRB1; CLA-1; SR-BI; CD36L1; HDLQTL6
应用:
WB,IHC,FCM
反应种属:
Human
抗体类型:
Primary antibody
Swissprot:
Q8WTV0
规格:
目录价
在线咨询
Description |
|---|
The protein encoded by this gene is a plasma membrane receptor for high density lipoprotein cholesterol (HDL). The encoded protein mediates cholesterol transfer to and from HDL. In addition, this protein is a receptor for hepatitis C virus glycoprotein E2. Several transcript variants encoding different isoforms have been found for this gene.[provided by RefSeq, Jan 2019] |
References |
|---|
| 1,Arch Biochem Biophys. 2019 May 15;666:1-7. 2,Cancer Res. 2019 Jul 1;79(13):3320-3331. |
Specification |
|
|---|---|
| Aliases | CLA1; SRB1; CLA-1; SR-BI; CD36L1; HDLQTL6 |
| Entrez GeneID | 949 |
| Swissprot | Q8WTV0 |
| clone | 5E9H10 |
| WB Predicted band size | 60.8kDa |
| Host/Isotype | Mouse IgG2a |
| Antibody Type | Primary antibody |
| Storage | Store at 4°C short term. Aliquot and store at -20°C long term. Avoid freeze/thaw cycles. |
| Species Reactivity | Human |
| Immunogen | Purified recombinant fragment of human SCARB1 (AA: Extra(33-232)) expressed in E. Coli. |
| Formulation | Purified antibody in PBS with 0.05% sodium azide |
Application |
|
|---|---|
| WB | 1/500 - 1/2000 |
| IHC | 1/200 - 1/1000 |
| FCM | 1/200 - 1/400 |
| ELISA | 1/10000 |
Product Image
-
Black line: Control Antigen (100 ng);Purple line: Antigen (10ng); Blue line: Antigen (50 ng); Red line:Antigen (100 ng)

-
Western blot analysis using SCARB1 mouse mAb against Hela (1), U937 (2), and HePG2 (3) cell lysate.

-
Flow cytometric analysis of BEL-7402 cells using SCARB1 mouse mAb (green) and negative control (red).

-
Flow cytometric analysis of Hela cells using SCARB1 mouse mAb (green) and negative control (red).

-
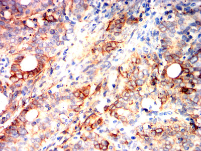
Immunohistochemical analysis of paraffin-embedded human cervical cancer tissues using SCARB1 mouse mAb with DAB staining.

-
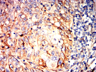
Immunohistochemical analysis of paraffin-embedded human lung cancer tissues using SCARB1 mouse mAb with DAB staining.







鄂公网安备42018502007531号

