Mouse Monoclonal Antibody to LMNB1
货号:
32163
别名:
LMN;ADLD;LMN2; LMNB;MCPH26
应用:
WB,IHC,IF,FCM
反应种属:
Human,Mouse,Rat
抗体类型:
Loading Control Antibody
Swissprot:
P20700
规格:
目录价
在线咨询
Description |
|---|
This gene encodes one of the two B-type lamin proteins and is a component of the nuclear lamina. A duplication of this gene is associated with autosomal dominant adult-onset leukodystrophy (ADLD). Alternative splicing results in multiple transcript variants. |
References |
|---|
| 1.J Immunol. 2019 Mar 1;202(5):1428-1440. 2.Am J Hum Genet. 2020 Oct 1;107(4):753-762. |
Specification |
|
|---|---|
| Aliases | LMN;ADLD;LMN2; LMNB;MCPH26 |
| Entrez GeneID | 4001 |
| Swissprot | P20700 |
| clone | 2A11A2 |
| WB Predicted band size | 66.4kDa |
| Host/Isotype | Mouse IgG1 |
| Antibody Type | Loading Control Antibody |
| Storage | Store at 4°C short term. Aliquot and store at -20°C long term. Avoid freeze/thaw cycles. |
| Species Reactivity | Human,Mouse,Rat |
| Immunogen | Purified recombinant fragment of human LMNB1 (AA: 413-583) expressed in HEK293-6e cells supernatant. |
| Formulation | Purified antibody in PBS with 0.05% sodium azide |
Application |
|
|---|---|
| WB | 1/500 - 1/2000 |
| IHC | 1/200 - 1/1000 |
| IF | 1/200 - 1/1000 |
| FCM | 1/200 - 1/400 |
| ELISA | 1/10000 |
Product Image
-
Black line: Control Antigen (100 ng);Purple line: Antigen (10ng); Blue line: Antigen (50 ng); Red line:Antigen (100 ng)

-
Western blot analysis using LMNB1 mouse mAb against Hela (1), HEK2933 (2), K562 (3), SH-SY5Y (4), and PC-3 (5) cell lysate.

-
Immunofluorescence analysis of Hela cells using LMNB1 mouse mAb (green). Blue: DRAQ5 fluorescent DNA dye. Red: Actin filaments have been labeled with Alexa Fluor- 555 phalloidin. Secondary antibody from Fisher (Cat#: 35503)

-
Flow cytometric analysis of Hela cells using LMNB1 mouse mAb (green) and negative control (red).

-
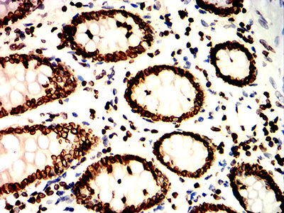
Immunohistochemical analysis of paraffin-embedded human colon tissues using LMNB1 mouse mAb with DAB staining.

-
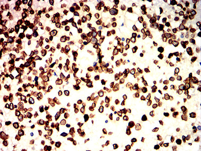
Immunohistochemical analysis of paraffin-embedded human ovarian cancer tissues using LMNB1 mouse mAb with DAB staining.

-
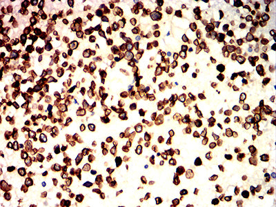
Immunohistochemical analysis of paraffin-embedded human brain tumors tissues using LMNB1 mouse mAb with DAB staining.

-
Immunohistochemical analysis of paraffin-embedded human cerebellum tissues using LMNB1 mouse mAb with DAB staining.









鄂公网安备42018502007531号

