Mouse Monoclonal Antibody to CD109
货号:
32141
别名:
p180; r150; CPAMD7
应用:
IHC,IF,FCM
反应种属:
Human
抗体类型:
Primary antibody
Swissprot:
Q6YHK3
规格:
目录价
在线咨询
Description |
|---|
This gene encodes a glycosyl phosphatidylinositol (GPI)-linked glycoprotein that localizes to the surface of platelets, activated T-cells, and endothelial cells. The protein binds to and negatively regulates signalling by transforming growth factor beta (TGF-beta). Multiple transcript variants encoding different isoforms have been found for this gene. |
References |
|---|
| 1.Cancer Sci. 2020 May;111(5):1652-1662. 2.Diagn Pathol. 2015 Aug 7;10:137. |
Specification |
|
|---|---|
| Aliases | p180; r150; CPAMD7 |
| Entrez GeneID | 135228 |
| Swissprot | Q6YHK3 |
| clone | 3B5G6 |
| WB Predicted band size | 161.7kDa |
| Host/Isotype | Mouse IgG1 |
| Antibody Type | Primary antibody |
| Storage | Store at 4°C short term. Aliquot and store at -20°C long term. Avoid freeze/thaw cycles. |
| Species Reactivity | Human |
| Immunogen | Purified recombinant fragment of human CD109 (AA: extra 1274-1421) expressed in E. Coli. |
| Formulation | Purified antibody in PBS with 0.05% sodium azide |
Application |
|
|---|---|
| IHC | 1/200 - 1/1000 |
| IF | 1/20 - 1/100 |
| FCM | 1/200 - 1/400 |
| ELISA | 1/10000 |
Product Image
-
Black line: Control Antigen (100 ng);Purple line: Antigen (10ng); Blue line: Antigen (50 ng); Red line:Antigen (100 ng)

-
Immunofluorescence analysis of Hela cells using CD109 mouse mAb (green). Blue: DRAQ5 fluorescent DNA dye. Red: Actin filaments have been labeled with Alexa Fluor- 555 phalloidin. Secondary antibody from Fisher (Cat#: 35503)

-
Flow cytometric analysis of Jurkat cells using CD109 mouse mAb (green) and negative control (red).

-
Immunohistochemical analysis of paraffin-embedded human lung tissues using CD109 mouse mAb with DAB staining.

-
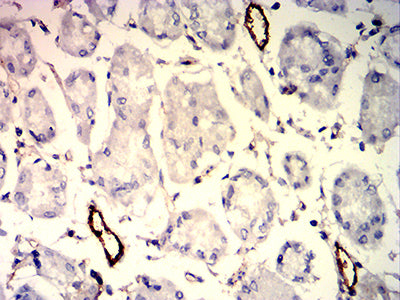
Immunohistochemical analysis of paraffin-embedded human stomach tissues using CD109 mouse mAb with DAB staining.






鄂公网安备42018502007531号

