Mouse Monoclonal Antibody to BRAF
Description |
|---|
This gene encodes a protein belonging to the RAF family of serine/threonine protein kinases. This protein plays a role in regulating the MAP kinase/ERK signaling pathway, which affects cell division, differentiation, and secretion. Mutations in this gene, most commonly the V600E mutation, are the most frequently identified cancer-causing mutations in melanoma, and have been identified in various other cancers as well, including non-Hodgkin lymphoma, colorectal cancer, thyroid carcinoma, non-small cell lung carcinoma, hairy cell leukemia and adenocarcinoma of lung. Mutations in this gene are also associated with cardiofaciocutaneous, Noonan, and Costello syndromes, which exhibit overlapping phenotypes. A pseudogene of this gene has been identified on the X chromosome. [provided by RefSeq, Aug 2017] |
References |
|---|
| 1,Proc Natl Acad Sci U S A. 2020 Dec 8;117(49):31105-31113. 2,Sci Rep. 2020 Oct 9;10(1):16943. |
Specification |
|
|---|---|
| Aliases | NS7; B-raf; BRAF1; RAFB1; B-RAF1 |
| Entrez GeneID | 673 |
| Swissprot | P15056 |
| clone | 3B8B12 |
| WB Predicted band size | 84.4kda |
| Host/Isotype | Mouse IgG1 |
| Antibody Type | Primary antibody |
| Storage | Store at 4°C short term. Aliquot and store at -20°C long term. Avoid freeze/thaw cycles. |
| Species Reactivity | Human, Mouse, Monkey |
| Immunogen | Purified recombinant fragment of human BRAF (AA: 299-447) expressed in HEK293-6e. |
| Formulation | Purified antibody in PBS with 0.05% sodium azide |
Application |
|
|---|---|
| WB | 1/500 - 1/2000 |
| IHC | 1/200 - 1/1000 |
| FCM | 1/200 - 1/400 |
| ELISA | 1/10000 |
Product Image
-
Black line: Control Antigen (100 ng);Purple line: Antigen (10ng); Blue line: Antigen (50 ng); Red line:Antigen (100 ng)

-
Western blot analysis using BRAF mouse mAb against Hela (1), HT-29 (2), MOLT4 (3), T47D (4), HePG2 (5), NIH/3T3 (6), PC-12 (7), and COS-7 (8) cell lysate.

-
Flow cytometric analysis of BEL-7402 cells using BRAF mouse mAb (green) and negative control (red).

-
Flow cytometric analysis of Hela cells using BRAF mouse mAb (green) and negative control (red).

-
Flow cytometric analysis of HepG2 cells using BRAF mouse mAb (green) and negative control (red).

-
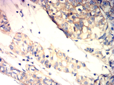
Immunohistochemical analysis of paraffin-embedded human bladder cancer tissues using BRAF mouse mAb with DAB staining.

-
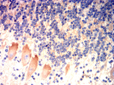
Immunohistochemical analysis of paraffin-embedded human cerebellar tissues using BRAF mouse mAb with DAB staining.








鄂公网安备42018502007531号

