Mouse Monoclonal Antibody to CD42A
货号:
32152
别名:
GPIX,GP9
应用:
WB,IHC,FCM
反应种属:
Human, Mouse
抗体类型:
Primary antibody
Swissprot:
P14770
规格:
目录价
在线咨询
Description |
|---|
This gene encodes a small membrane glycoprotein found on the surface of human platelets. It forms a 1-to-1 noncovalent complex with glycoprotein Ib, a platelet surface membrane glycoprotein complex that functions as a receptor for von Willebrand factor. The complete receptor complex includes noncovalent association of the alpha and beta subunits with the protein encoded by this gene and platelet glycoprotein V. Defects in this gene are a cause of Bernard-Soulier syndrome, also known as giant platelet disease. These patients have unusually large platelets and have a clinical bleeding tendency. [provided by RefSeq, Oct 2008] |
References |
|---|
| 1,Case Reports J Thromb Haemost. 2017 Aug;15(8):1646-1654. 2,Case Reports Acta Haematol. 2007;118(3):146-8. |
Specification |
|
|---|---|
| Aliases | GPIX,GP9 |
| Entrez GeneID | 2815 |
| Swissprot | P14770 |
| clone | 1E2D10 |
| WB Predicted band size | 19kDa |
| Host/Isotype | Mouse IgG1 |
| Antibody Type | Primary antibody |
| Storage | Store at 4°C short term. Aliquot and store at -20°C long term. Avoid freeze/thaw cycles. |
| Species Reactivity | Human, Mouse |
| Immunogen | Purified recombinant fragment of human CD42A (AA: extra(17-147)) expressed in E. Coli. |
| Formulation | Purified antibody in PBS with 0.05% sodium azide |
Application |
|
|---|---|
| WB | 1/500 - 1/2000 |
| IHC | 1/200 - 1/1000 |
| FCM | 1/200 - 1/400 |
| ELISA | 1/10000 |
Product Image
-
Black line: Control Antigen (100 ng);Purple line: Antigen (10ng); Blue line: Antigen (50 ng); Red line:Antigen (100 ng)

-
Western blot analysis using CD42A mouse mAb against PANC-1 (1), and L1210 (2) cell lysate.

-
Flow cytometric analysis of K562 cells using CD42A mouse mAb (green) and negative control (red).

-
Flow cytometric analysis of THP-1 cells using CD42A mouse mAb (green) and negative control (red).

-
Flow cytometric analysis of Jurkat cells using CD42A mouse mAb (green) and negative control (red).

-
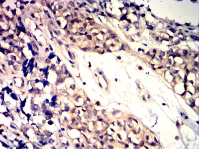
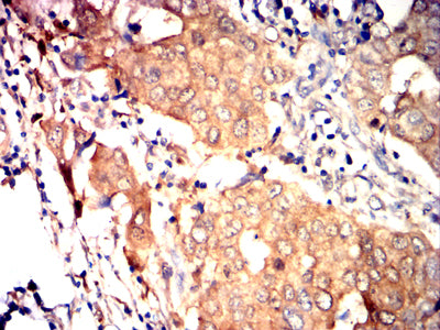
Immunohistochemical analysis of paraffin-embedded human bladder cancer tissues using CD42A mouse mAb with DAB staining.

-
Immunohistochemical analysis of paraffin-embedded human breast cancer tissues using CD42A mouse mAb with DAB staining.








鄂公网安备42018502007531号

