Mouse Monoclonal Antibody to PDLIM7
Description |
|---|
The protein encoded by this gene is representative of a family of proteins composed of conserved PDZ and LIM domains. LIM domains are proposed to function in protein-protein recognition in a variety of contexts including gene transcription and development and in cytoskeletal interaction. The LIM domains of this protein bind to protein kinases, whereas the PDZ domain binds to actin filaments. The gene product is involved in the assembly of an actin filament-associated complex essential for transmission of ret/ptc2 mitogenic signaling. The biological function is likely to be that of an adapter, with the PDZ domain localizing the LIM-binding proteins to actin filaments of both skeletal muscle and nonmuscle tissues. Alternative splicing of this gene results in multiple transcript variants. |
References |
|---|
| 1.Med Sci Monit. 2018 Oct 25;24:7603-7613. 2.Oncol Rep. 2015 May;33(5):2253-60. |
Specification |
|
|---|---|
| Aliases | LMP1; LMP3 |
| Entrez GeneID | 9260 |
| Swissprot | Q9NR12 |
| clone | 2B4A3 |
| WB Predicted band size | 49.8kDa |
| Host/Isotype | Mouse IgG1 |
| Antibody Type | Primary antibody |
| Storage | Store at 4°C short term. Aliquot and store at -20°C long term. Avoid freeze/thaw cycles. |
| Species Reactivity | Human |
| Immunogen | Purified recombinant fragment of human PDLIM7 (AA: 86-280) expressed in HEK293-6e cells supernatant. |
| Formulation | Purified antibody in PBS with 0.05% sodium azide |
Application |
|
|---|---|
| IHC | 1/200 - 1/1000 |
| IF | 1/20 - 1/100 |
| FCM | 1/200 - 1/400 |
| ELISA | 1/10000 |
Product Image
-
Black line: Control Antigen (100 ng);Purple line: Antigen (10ng); Blue line: Antigen (50 ng); Red line:Antigen (100 ng)

-
Immunofluorescence analysis of Hela cells using PDLIM7 mouse mAb. Blue: DRAQ5 fluorescent DNA dye. Red: Actin filaments have been labeled with Alexa Fluor- 555 phalloidin.

-
Immunofluorescence analysis of Hela cells using PDLIM7 mouse mAb (green). Blue: DRAQ5 fluorescent DNA dye. Red: Actin filaments have been labeled with Alexa Fluor- 555 phalloidin. Secondary antibody from Fisher (Cat#: 35503)

-
Flow cytometric analysis of Jurkat cells using PDLIM7 mouse mAb (green) and negative control (red).

-
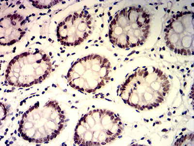
Immunohistochemical analysis of paraffin-embedded human colon tissues using PDLIM7 mouse mAb with DAB staining.

-
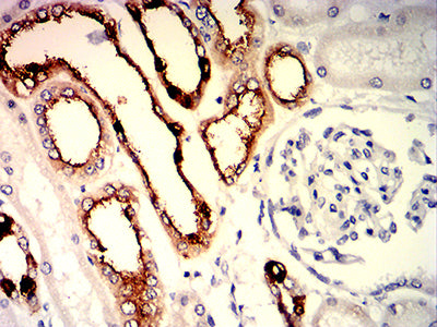
Immunohistochemical analysis of paraffin-embedded human kidney tissues using PDLIM7 mouse mAb with DAB staining.







鄂公网安备42018502007531号

