Mouse Monoclonal Antibody to UQCRC1
货号:
32144
别名:
QCR1; UQCR1; D3S3191
应用:
WB,IHC,IF,FCM
反应种属:
Human, Mouse, Rat
抗体类型:
Primary antibody
Swissprot:
P31930
规格:
目录价
在线咨询
Description |
|---|
UQCRC1 (Ubiquinol-Cytochrome C Reductase Core Protein 1) is a Protein Coding gene. Diseases associated with UQCRC1 include Leukodystrophy, Hypomyelinating, 4 and Alzheimer Disease. Among its related pathways are Respiratory electron transport, ATP synthesis by chemiosmotic coupling, and heat production by uncoupling proteins. and Cardiac muscle contraction. Gene Ontology (GO) annotations related to this gene include ubiquitin protein ligase binding and ubiquinol-cytochrome-c reductase activity. An important paralog of this gene is PMPCB. |
References |
|---|
| 1.Oncotarget. 2016 Dec 27;7(52):86490-86499. 2.Med Sci Monit. 2019 Jul 5;25:4982-4991. |
Specification |
|
|---|---|
| Aliases | QCR1; UQCR1; D3S3191 |
| Entrez GeneID | 7384 |
| Swissprot | P31930 |
| clone | 1A3D12 |
| WB Predicted band size | 52.6kDa |
| Host/Isotype | Mouse IgG1 |
| Antibody Type | Primary antibody |
| Storage | Store at 4°C short term. Aliquot and store at -20°C long term. Avoid freeze/thaw cycles. |
| Species Reactivity | Human, Mouse, Rat |
| Immunogen | Purified recombinant fragment of human UQCRC1 (AA: 60-227) expressed in E. Coli. |
| Formulation | Purified antibody in PBS with 0.05% sodium azide |
Application |
|
|---|---|
| WB | 1/500 - 1/2000 |
| IHC | 1/200 - 1/1000 |
| IF | 1/50 - 1/200 |
| FCM | 1/200 - 1/400 |
| ELISA | 1/10000 |
Product Image
-
Black line: Control Antigen (100 ng);Purple line: Antigen (10ng); Blue line: Antigen (50 ng); Red line:Antigen (100 ng)

-
Western blot analysis using UQCRC1 mouse mAb against Hela (1), A431 (2), HepG2 (3), Hek293 (4), PC-3 (5), SH-SY5Y (6), mouse brain (7), and rat brain (8) cell lysate.

-
Immunofluorescence analysis of Hela cells using UQCRC1 mouse mAb (green). Blue: DRAQ5 fluorescent DNA dye. Red: Actin filaments have been labeled with Alexa Fluor- 555 phalloidin. Secondary antibody from Fisher (Cat#: 35503)

-
Flow cytometric analysis of Jurkat cells using UQCRC1 mouse mAb (green) and negative control (red).

-
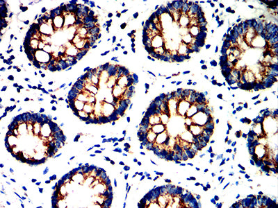
Immunohistochemical analysis of paraffin-embedded human colon tissues using UQCRC1 mouse mAb with DAB staining.

-
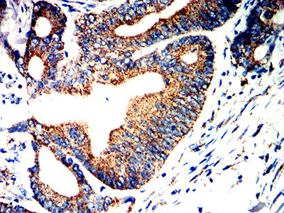
Immunohistochemical analysis of paraffin-embedded human colon cancer tissues using UQCRC1 mouse mAb with DAB staining.







鄂公网安备42018502007531号

