Mouse Monoclonal Antibody to CEACAM6
货号:
32139
别名:
NCA; CEAL; CD66c
应用:
WB,IHC,IF,FCM
反应种属:
Human, Mouse, Rat
抗体类型:
Primary antibody
Swissprot:
P40199
规格:
目录价
在线咨询
Description |
|---|
This gene encodes a protein that belongs to the carcinoembryonic antigen (CEA) family whose members are glycosyl phosphatidyl inositol (GPI) anchored cell surface glycoproteins. Members of this family play a role in cell adhesion and are widely used as tumor markers in serum immunoassay determinations of carcinoma. This gene affects the sensitivity of tumor cells to adenovirus infection. The protein encoded by this gene acts as a receptor for adherent-invasive E. coli adhesion to the surface of ileal epithelial cells in patients with Crohn's disease. This gene is clustered with genes and pseudogenes of the cell adhesion molecules subgroup of the CEA family on chromosome 19. |
References |
|---|
| 1.Sci Rep. 2019 Dec 4;9(1):18347. 2.J Immunol. 2017 Apr 15;198(8):3307-3317. |
Specification |
|
|---|---|
| Aliases | NCA; CEAL; CD66c |
| Entrez GeneID | 4680 |
| Swissprot | P40199 |
| clone | 3H4A5 |
| WB Predicted band size | 37.2kDa |
| Host/Isotype | Mouse IgG1 |
| Antibody Type | Primary antibody |
| Storage | Store at 4°C short term. Aliquot and store at -20°C long term. Avoid freeze/thaw cycles. |
| Species Reactivity | Human, Mouse, Rat |
| Immunogen | Purified recombinant fragment of human CEACAM6 (AA: 35-256) expressed in HEK293-6e cells supernatant. |
| Formulation | Purified antibody in PBS with 0.05% sodium azide |
Application |
|
|---|---|
| WB | 1/500 - 1/2000 |
| IHC | 1/200 - 1/1000 |
| IF | 1/25 - 1/100 |
| FCM | 1/200 - 1/400 |
| ELISA | 1/10000 |
Product Image
-
Black line: Control Antigen (100 ng);Purple line: Antigen (10ng); Blue line: Antigen (50 ng); Red line:Antigen (100 ng)

-
Western blot analysis using CEACAM6 mouse mAb against Jurkat (1), PC-12 (2), HEK293 (3), MG63 (4), and C2C12 (5) cell lysate.

-
Immunofluorescence analysis of Hela cells using CEACAM6 mouse mAb (green). Blue: DRAQ5 fluorescent DNA dye. Red: Actin filaments have been labeled with Alexa Fluor- 555 phalloidin. Secondary antibody from Fisher (Cat#: 35503)

-
Flow cytometric analysis of Jurkat cells using CEACAM6 mouse mAb (green) and negative control (red).

-
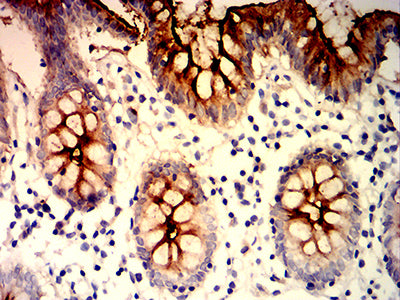
Immunohistochemical analysis of paraffin-embedded human colon tissues using CEACAM6 mouse mAb with DAB staining.

-
Immunohistochemical analysis of paraffin-embedded human rectum cancer tissues using CEACAM6 mouse mAb with DAB staining.







鄂公网安备42018502007531号

